下载或打开 医联APP 查看完整评论
立即下载
打开APP
打开应用
1104邻面龋嘉9
圣齿用户
圣齿牙科诊所
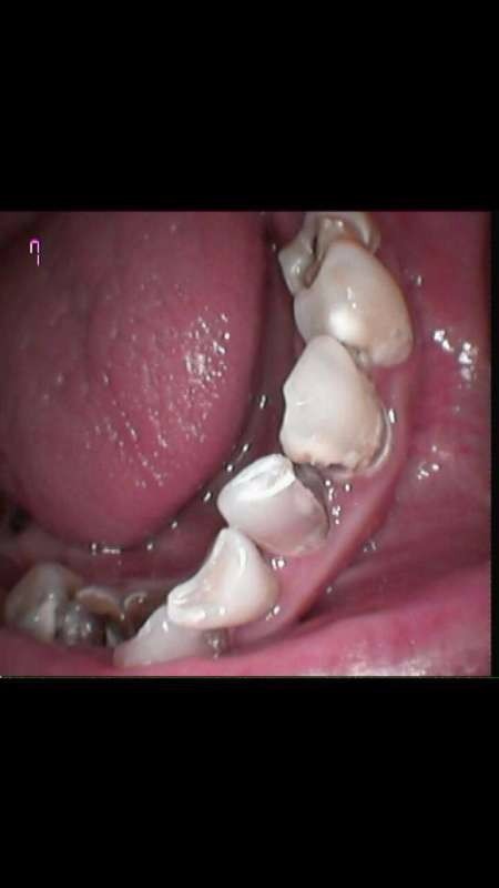
主诉 病史
患者男25岁,右下23之间34之间45之间,邻面龋深答髓腔。冷热刺激痛。根管治疗后烤瓷牙修复
发布于 15-11-04 16:49
医联推荐你看
邻面龋
1110邻面龋嘉7
110邻面龋嘉7
共
0
个评论
暂无评论
发送
0