下载或打开 医联APP 查看完整评论
立即下载
打开APP
打开应用
1104牙神经发炎嘉3
哈尔用户
哈尔滨海华综合门诊
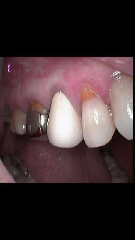
主诉 病史
患者45岁,右上5疼痛2周,夜间加重。冷热刺激痛。此牙为烤瓷牙。右上6 钢冠,颈缘露根。拆冠后,根管治疗后56连冠烤瓷修复
发布于 15-11-04 16:10
医联推荐你看
1105神经发炎嘉11
1113神经发炎嘉10
1110神经发炎嘉9
共
1
个评论
查看更多评论
发送
0