主诉:腹胀、纳差3月,加重伴气喘半月; 病史见图:

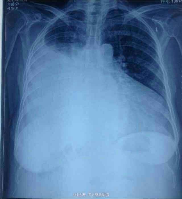
查体:心率78次/分,血压104/72mmHg,端坐体位,双侧胸廓对称,右肺语颤增强,右肺呼吸音弱,左肺呼吸音正常,心律齐,腹部膨隆,腹水征阳性,移动性浊音阳性,双下肢轻度凹陷性水肿。 辅助检查: 胸片:1、右侧胸腔积液,2、左心室增大(有心衰影像表现)。心脏彩超:EF21%,全心扩大,二尖瓣关闭不全,三尖瓣关闭不全(中度)并肺动脉高压,心功能减低。 腹部彩超:肝脾双肾未见明显异常,胰腺显示不清,腹腔积液(深约11cm)。 妇科彩超:未见明显异常。 肿瘤标志物:CA199:91.58U/ml,CA125:>400U/ml. 胸腹水脱落细胞学检查未见癌细胞。





拟诊:1、扩张性心肌病 二、三尖瓣关闭不全 慢性心功能衰竭 2、右侧胸腔积液 3、腹腔积液(肿瘤不除外) 治疗:入院后完善检查,考虑心源性所致,给予胸腹腔穿刺置管流胸腹水(交叉放水),强心利尿、抗炎、扩管、纠正心衰及对症治疗一周,腹水明显减少,胸水未见明显减少,此时肿瘤标志物回示:CA125、CA199升高,遂行妇科彩超排除妇科肿瘤,结果未见异常,欲行CT进一步检查,患者家属未接受;继续引流胸水及对症治疗3天,患者腹胀、气喘症状明显好转,胸腔积液较前减少,欲行胸部CT进一步检查,患者未接受,切见症状好转,要求出院,反复劝说无效后予以出院。出院继续口服强心利尿药物。
随访:患者20天后门诊复查彩超:右侧胸腔积液深约5cm,腹腔少量积液;患者无胸闷、气喘、腹胀不适。 讨论:在诊断方面,首要考虑心源性,其次是肿瘤性,肿瘤标致物不是特异指标,CA125增高可见于卵巢癌,浆膜腔恶性积液,淋巴瘤,盆腔炎症,CA199升高有胰腺癌,胰腺炎,其他消化道肿瘤等。肿标的持续升高对诊断肿瘤意义更大。 肺癌继发恶性腹水的临床上真心罕见,反倒是消化道、卵巢恶性肿瘤继发恶性胸水的多见。 左心衰或者全心衰竭可以仅仅出现单侧胸腔积液,并且可以是大量的,甚至是血性的,此外心衰引起的胸腔积液有个特点,就是如果是单侧,右侧多见,如果是双侧的话,右侧积液量多于左侧,关于这个特点,文献里有报道,大家可以查一下,解释的原因较多。而这个患者的胸腔积液就在右侧,在排除右侧有肺炎,肿瘤等可引起胸腔积液的其他疾病后,首先就要考虑心衰所致,患者胸片心影明显增大,最重要的是心脏彩超汇报全心扩大,射血分数21%,扩张性心肌病等,因此诊断心力衰竭应该没有问题!心力衰竭,特别是全心衰竭引起胸腹腔积液是可以的。对于心衰引起的这么大的胸腔积液,有时候易被误诊误诊,患者胸腔积液消失慢,如果是心衰所致,那么真正的治疗方法就应该是强心利尿扩血管等,并且用量用药方面有时候要个体话,否则胸腔积液即使抽了还会长,因为本质原因心衰没有得到纠正。 对于该患者胸腹水病因:心源性?肿瘤性?或者其他?您有什么看法?