下载或打开 医联APP 查看完整评论
立即下载
打开APP
打开应用
松动牙固定
哈尔用户
哈尔滨海华综合门诊
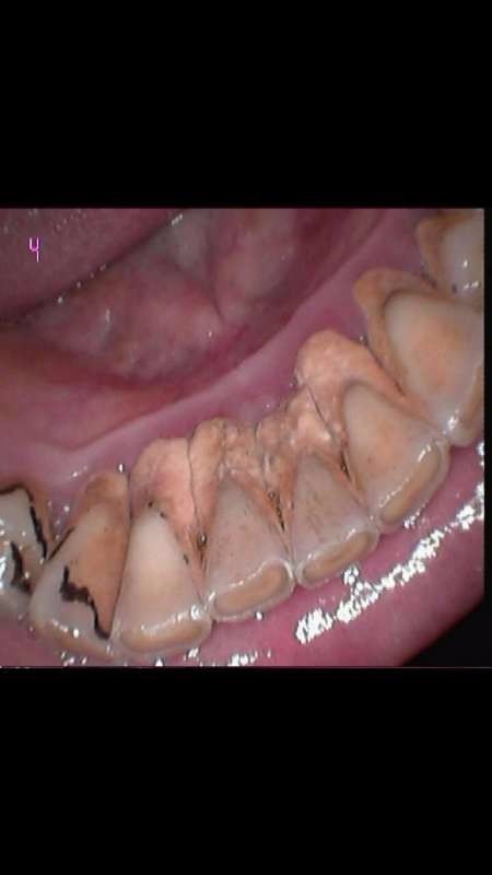
主诉 病史
下前牙松动1度,要求洗牙后固定结扎
发布于 15-11-03 16:09
医联推荐你看
牙周夹板固定松动牙
松动牙
牙齿松动,固定修复
共
0
个评论
暂无评论
发送
0