打开应用

胰头腺癌手术治疗

孙医师   中国医科大学附属盛京医院
腺癌 慢性胆囊炎 慢性胆囊炎

主诉 病史

主诉:上腹痛1个月。 病史:患者1月前出现中上腹持续性钝痛,位置不定,餐后加重,无恶心呕吐,自服三九胃泰,奥美拉唑等胃肠道药物,症状未见缓解,于东港市中心医院CT检查示:胰头占位病变,考虑胰头癌及低位胆道梗阻。为进一步诊治,以“胰头占位”收入我科。现患者一般状态可,饮食略差,睡眠差,小便黄,色深,大便正常,体重减轻2.5公斤。

查体 辅查

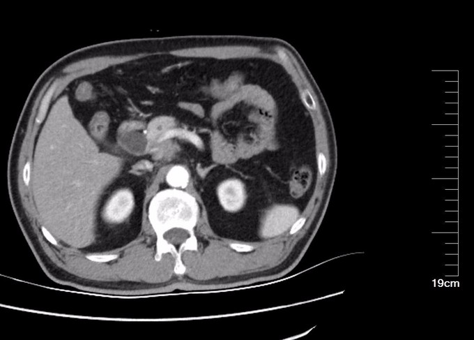
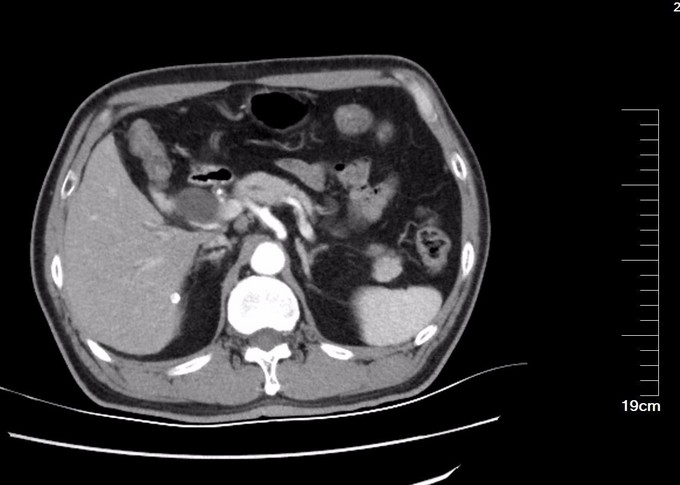
查体:全身皮肤及巩膜黄染,腹部膨隆,无胃肠型,腹软,中上腹压痛,无反跳痛,肝脾未触及,肝肾区无叩痛,肠鸣音6次/分,移动性浊音(-)。 辅查: CT:胰头部隐约见弱强化灶,局部门脉管径变细,胰头周围及腹膜后见增大淋巴结。胆总管胰腺段管壁增厚,明显强化,近端肝内外胆管扩张。胰管未见扩张。胰尾部见小囊状不强化灶,长径约8mm。MR 肝脏表面光滑,各叶比例协调,肝实质信号欠均匀。肝内外胆管普遍扩张,胆总管下段狭窄,中上段扩张,最宽处约1.8cm,胆囊壁增厚,其内信号不均。胰头部见稍长T1稍长T2信号影,境界模糊,范围约2.9cm×1.5cm,胰腺体尾部见长T1长T2信号结节影,大小约8mm×3mm,胰管轻度扩张。脾脏不大。 MRCP:肝内外胆管普遍扩张,胆总管下段狭窄,中上段扩张,宽约1.8cm,胆囊轮廓不清。胰腺体尾部见长T2信号结节影,大小约8mm×3mm,胰管扩张,胰腺头部主胰管狭窄。血清胆红素190.1umol/L,以直接胆红素升高为主。

诊断 处理

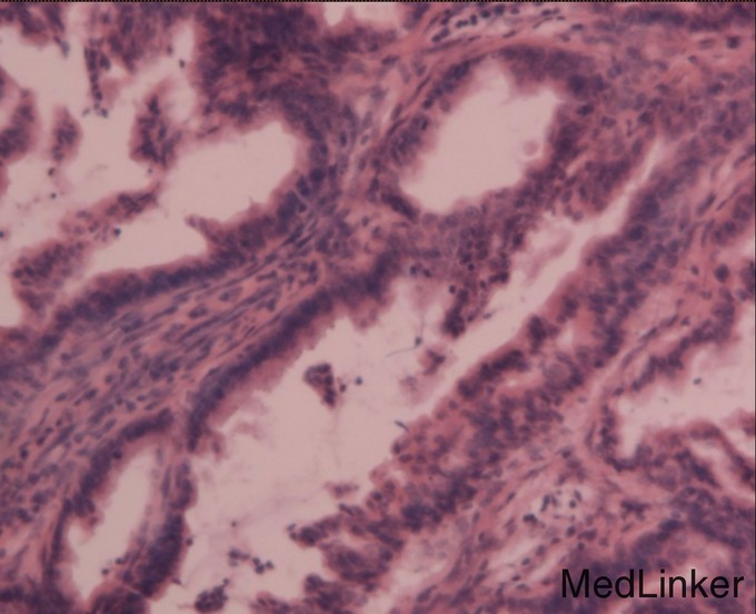
诊断: 胰头占位 恶性可能大 治疗:全麻下手术探查:肝脏於胆改变,无转移结节,腹壁及盆腔未见癌转移,胰头略增大,切开kocher筋膜,游离十二指肠降段,显露胰头后方,触及胰腺钩突2.5×2.0cm质硬肿物,界不清,胆囊无明显增大,约7×4×3cm,肝总管、胆总管全程明显扩张,直径约1.8cm,术中诊断胰腺头部占位,行胰十二指肠切除术,术中冰冻病理及术后病理证实恶性。病理镜下:癌细胞呈不规则腺样,筛网状排列,部分区域见淋巴组织。胰腺腺癌,高分化,肿物周围见少许淋巴结结构,考虑淋巴结受侵及,胃、肠、网膜未见癌,慢性胆囊炎。CD34及D2-40染色未见明显脉管癌栓,S-100染色见神经侵犯。

随访 讨论

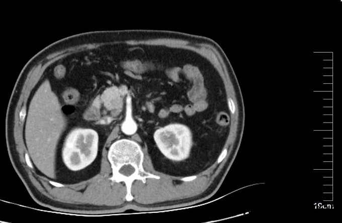
术后抑制胰酶,抗炎,补液治疗,检测引流液淀粉酶,最高394U/L, 没有胰瘘。术后复查腹部CT,可见胰腺内置管,脾窝积液,深约1.8厘米,因无明显发热,积液未行穿刺,给予利尿处理。胰腺癌预后差,术后5年生存率低,被称为癌中之王。如果肿瘤位于胰头,由于多数会引起黄疸,因此发现会比胰体尾癌早,因此预后也好于胰体尾癌。诊断此病,EUS,CT,PRCP都有价值,如果在EUS或CT引导下细针穿刺活检,阳性率可达80%。治疗上首选胰头十二指肠切除术或保留幽门的胰头十二指肠切除术,全身化疗用于辅助性治疗和局部晚期无法切除以及有远处转移的胰腺癌病人,常用的药物有吉西他滨,奥沙利铂,氟尿嘧啶,伊立替康等。

发布于 15-11-02 13:54

1 个评论

发送