打开应用

EPT+胰管支架联合LC治疗胆源性胰腺炎

孙医师   中国医科大学附属盛京医院
腹痛 胆囊结石 胆囊结石

主诉 病史

主诉: 右上腹疼痛24小时。 病史:患者24小时前出现右上腹痛,无寒战高热,伴恶心呕吐,无后背部放射痛,在辽宁省某医院就诊,彩超提示胆囊结石,胆囊炎,为求进一步治疗来我院,门诊以“胆囊结石,胆囊炎”为诊断收入院。病来患者睡眠饮食可,尿色发黄,大便正常.

查体 辅查

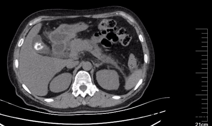
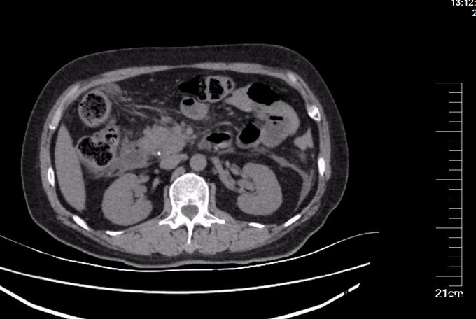
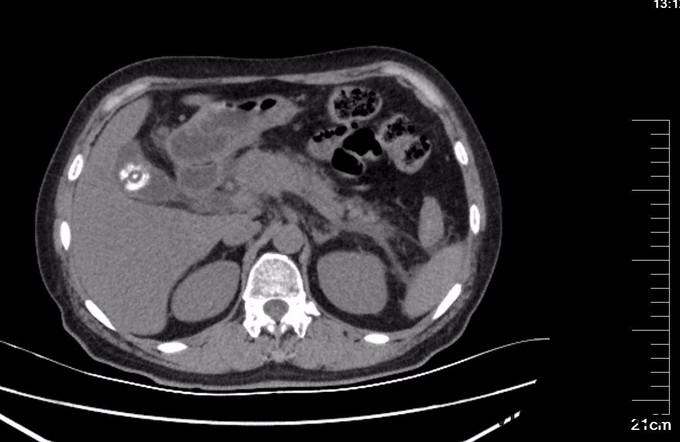
查体: 腹平坦,未见胃肠型及蠕动波,腹软,右上腹压痛明显,伴反跳痛,无肌紧张,肝脾肋下未扪及肿大,无移动性浊音,双肾区无叩痛,肠鸣音存在。 辅查:超声检查: 胆囊大小约6.1x2.4cm,壁厚约0.3cm,囊内见多个强回声团,较大者直径约0.9cm,声影(+),移动(+)。 胰腺轮廓模糊,胰腺头、体厚度分别为2.4cm、2.6cm,回声粗糙,主胰管直径约0.1cm。胰尾部受肠气干扰显示不清。 腹腔未见明显积液影像。 CT提示:肝内外胆管未见明显扩张,胆囊壁稍厚,内见结节状高密度影,直径约1.9cm。胆总管下段细点状高密度影,大小约0.2cm,胰腺边界模糊,周围多发条状絮状渗出影,双肾前筋膜增厚,十二指肠管壁模糊。血淀粉酶(AMY)、血脂肪酶(LPS )及尿淀粉酶(Amy-U)明显增高(见图里化验报告)。

诊断 处理

诊断: 胆囊结石 胆总管结石 胆源性胰腺炎 治疗:胃肠减压,抗炎,补液,抑酶,抑酸治疗,急诊内镜至十二指肠,见十二指肠乳头肿胀,选择性胆管插管顺利,造影见胆总管直径12mm,末段可见数处充盈缺损,最大大小约6mm,行乳头肌切开(EPT),以12mm球囊扩张乳头(1ATM,40s)后,取石球囊取出黄色结石1枚及少许泥沙样结石,球囊及盐水清理胆道,再次造影见胆总管内无充盈缺损,留置鼻胆引流管,选择性胰管插管顺利,留置5Fr5cm胰管塑料支架一枚。次日,患者血淀粉酶恢复正常,血脂肪酶降至156U/L,腹痛明显缓解。EPT第二日,全麻下腹腔镜胆囊切除术(LC),手术顺利,术中发现胰腺无坏死,未处理胰腺,LC术后2天再次经EPT留置的ENBD管造影,未发现胆总管结石,复查血淀粉酶及脂肪酶,均恢复正常,拔管出院。

随访 讨论

引起胰腺炎的病因有胆石症,酒精,高脂血症,免疫源性等,其中胆源性和酒精性常见。胆源性胰腺炎病因顾名思义由于存在胆石症,结石一般位于胆总管末端,有的从肝内或胆囊脱落至此,影响胰液排出,发展成胰腺炎。病人会有腹痛,腹胀,呕吐,胰腺炎早期是无菌性炎症,如不早期治疗,比如胃肠减压,补液,抑酶,抑酸治疗,预防性抗生素治疗,可能进展成重症胰腺炎,又叫爆发性胰腺炎,坏死性胰腺炎,出现呼吸衰竭,肾功衰竭,循环衰竭,休克,胰性脑病等,死亡率高。增强胰性CT诊断胰腺炎比较可靠,还能发现结石和胰腺是否坏死。治疗胆源性胰腺炎关键解除梗阻,传统方式胆总管切开取石,创伤比较大,或者LCBDE,创伤小。经内镜十二指肠乳头切开(EPT)也是不错的微创办法取石,还可以像本病例那样术中胰管置管,有利于胰液排出,该管1月后需要拔除。胆源性胰腺炎在胰腺炎恢复后需要常规切除胆囊,手术时机一般选择在术后3-6月炎症吸收后。但是有的病人在这期间胰腺炎会出现反复。所以我们选择同期胆囊切除术,一般发病不超过1周就可以手术,如果超过1周最好等3-6月,否则1周至3月内炎症最重,此期间LC手术容易中转开腹手术,而且并发症高。

发布于 15-11-02 13:46

28 个评论

发送