下载或打开 医联APP 查看完整评论
立即下载
打开APP
打开应用
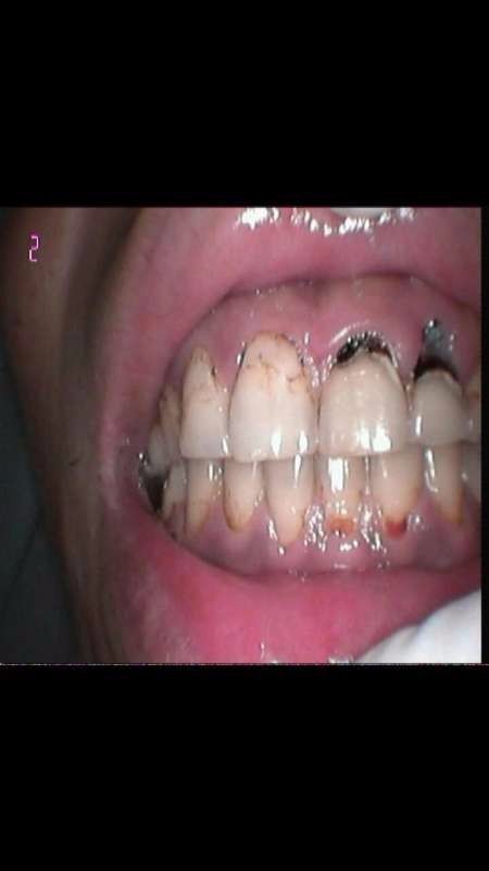
前牙颈部龋坏
牙科用户
牙科之家
主诉 病史
2122号牙颈部龋坏达髓腔,叩痛,无松动
发布于 15-11-02 12:28
医联推荐你看
右上牙颈部龋坏
右上牙颈部龋坏
前牙颈部龋坏的美学树脂充填
共
0
个评论
暂无评论
发送
0