下载或打开 医联APP 查看完整评论
立即下载
打开APP
患者,男性,13岁,因尿道异物8天入院。有腰腹部隐痛不适症状,有排尿不适症状,无明显血尿及排尿困难病史。既往无手术史。
体检:双肾区、输尿管行径区、膀胱区无压叩痛、未及包块。阴茎根部腹侧阴囊内可触及一条索状质硬异物,有明显触痛。辅助检查:岳池县罗渡中心卫生院(2015-9-9)盆腔X线片示会阴部阴囊内一针样异物。

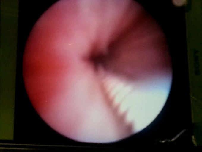
诊断:1、尿道内针样异物伴尿道阴囊穿刺伤。 治疗:行输尿管镜检异物取出术,术后安置尿管一周


讨论:少年异物癖放置针样异物致尿道内非常罕见,从尿道内顺针穿刺方向逆向将针取出可最大限度减少尿道损伤。随访:术后一月复诊无排尿困难及尿道狭窄发生。