打开应用

髁突骨折

余医师   西安交通大学口腔医院
髁突骨折 髁突骨折

主诉 病史

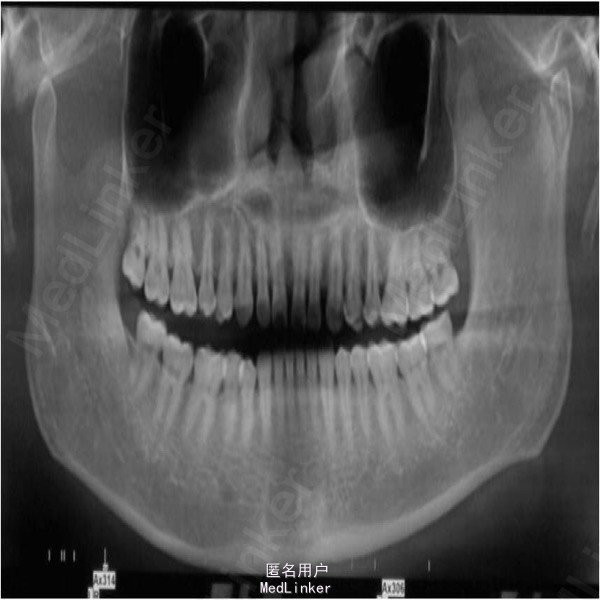
颏部外伤1小时 一小时前患者骑车跌倒,颏部着地

查体 辅查

颏部可见擦伤,其余部位未见明显外伤。曲面断层和CT提示,左侧髁突骨质连续性中断

诊断 处理

左侧髁突骨折 全麻下切开复位内固定

随访 讨论

术后髁突愈合良好

发布于 15-10-31 23:45

6 个评论

发送