下载或打开 医联APP 查看完整评论
立即下载
打开APP
打开应用
复杂骨折
刘医师
郑州大学第一附属医院惠济院区
骨折
主诉 病史
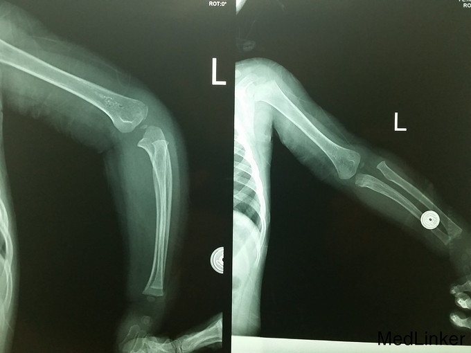
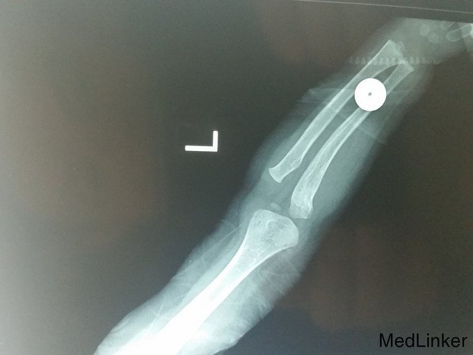
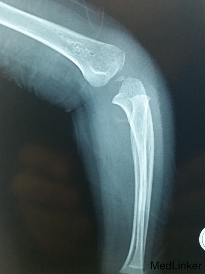
男,1岁10月,约1米高台跳下时伤及左侧肘部,肿胀活动受限
查体 辅查
左上肢石膏长臂石膏后托固定,左手活动可
诊断 处理
请教各位诊断及治疗方案
发布于 15-10-31 22:45
医联推荐你看
一例复杂的pilon骨折
复杂粗隆下骨折
复杂的颌面骨骨折
共
5
个评论
查看更多评论
发送
0