打开应用

外踝骨折

于医师   上海市同济医院
骨折 踝骨折 外踝骨折

主诉 病史

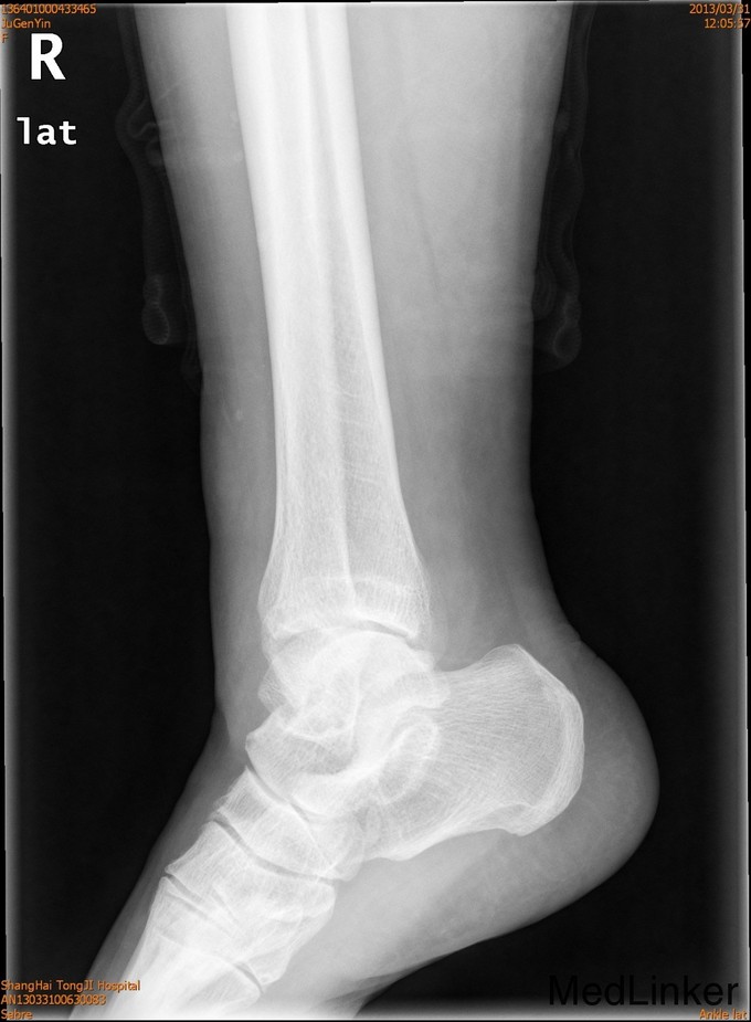
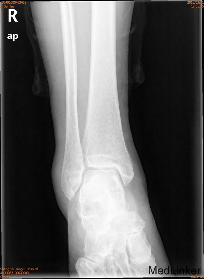
患者女,61岁,摔伤后右踝足肿痛4天。患者4天前不慎摔伤,即感右足踝疼痛,肿胀,活动受限 ,休息后疼痛减轻,X线示右外踝骨折。

查体 辅查

查体:一般情况可,右外踝肿胀,淤青,压痛明显,可及骨擦感,足部活动感觉可。

诊断 处理

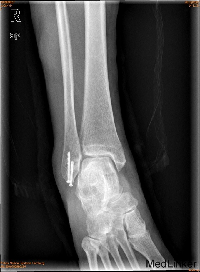
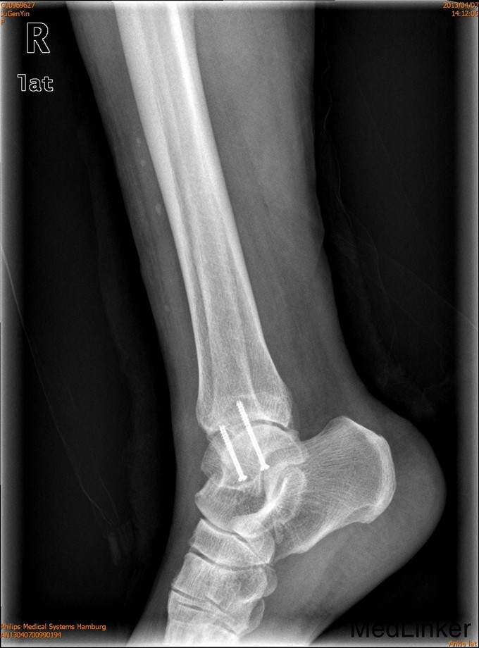
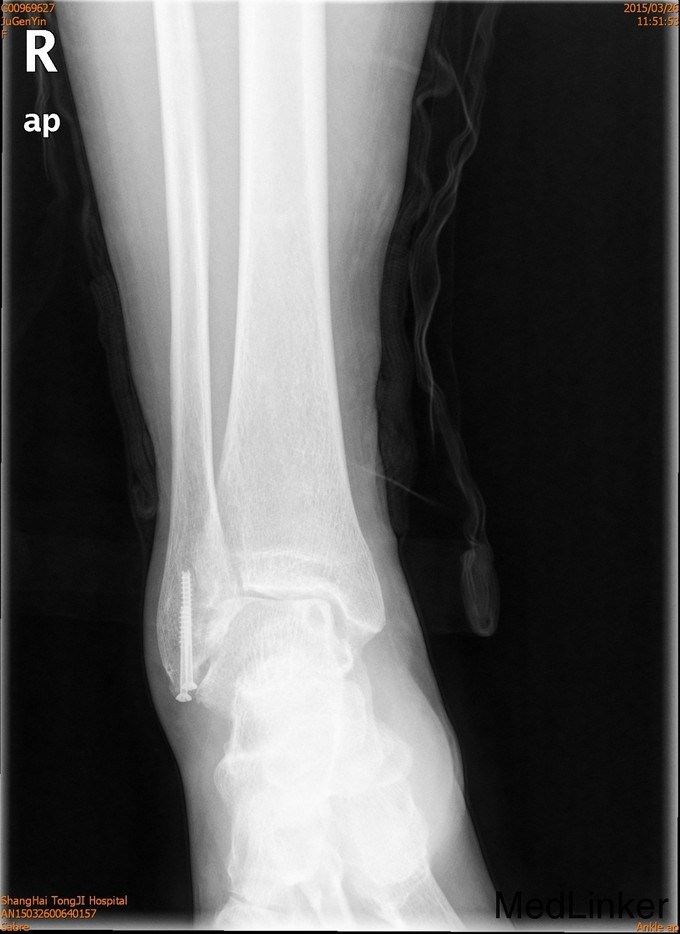
诊断为右外踝骨折,完善术前检查后于全麻下行右外踝骨折ORIF术+距腓前韧带修复术。

随访 讨论

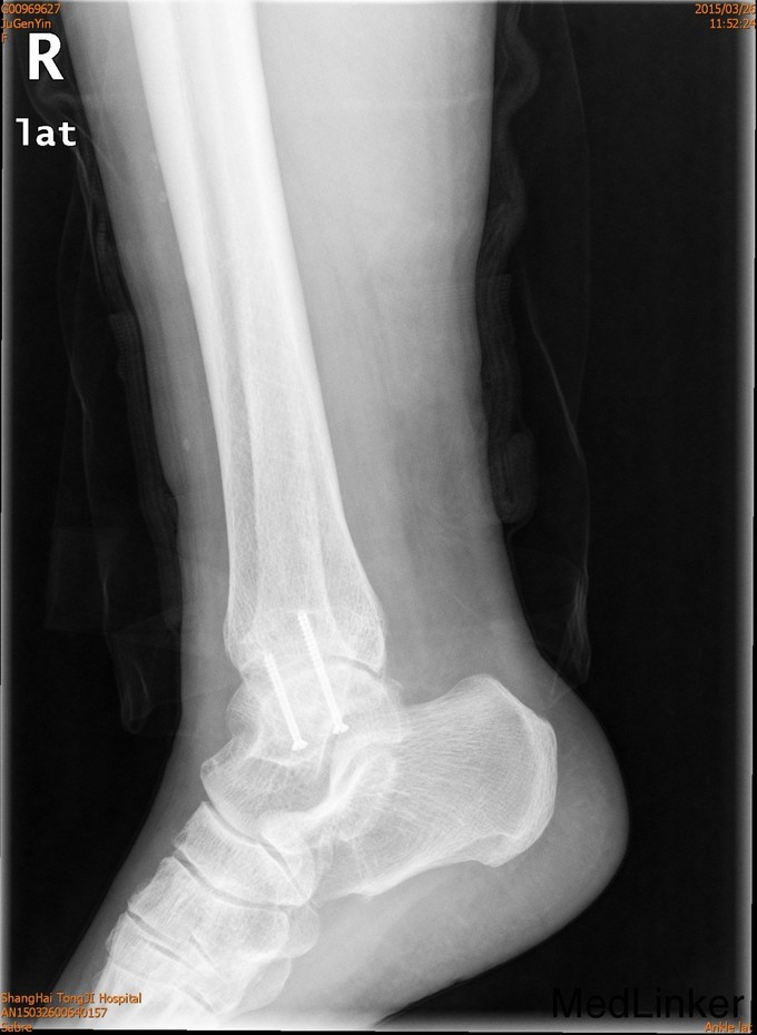
2年后随访患者活动可,内固定位置可,螺钉未予取出。外踝骨折可导致踝关节不稳定,手术治疗效果可。

发布于 15-10-31 21:13

2 个评论

发送