下载或打开 医联APP 查看完整评论
立即下载
打开APP
60岁女性,反复右膝关节疼痛1年,加重1月。早去期以活动痛为主,最近有静息痛。无发热,无潮热盗汗
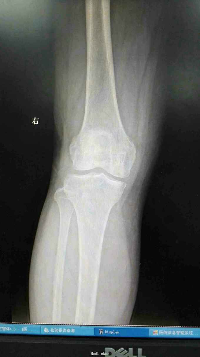
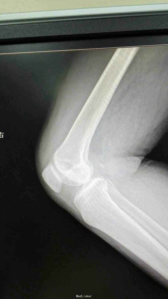
右膝外形正常,皮温正常,右膝内前方压痛(+),前后抽屉试验(-),侧方应力试验(-)、研磨试验内侧(+),关节活动度正常,左膝正常。 站立位膝关节正侧位片提示:右膝关节轻度退行性变,内侧关节间隙稍变窄 右膝关节MRI提示:右股骨内侧髁水肿,考虑局部骨坏死 实验室检查:各炎症指标均正常




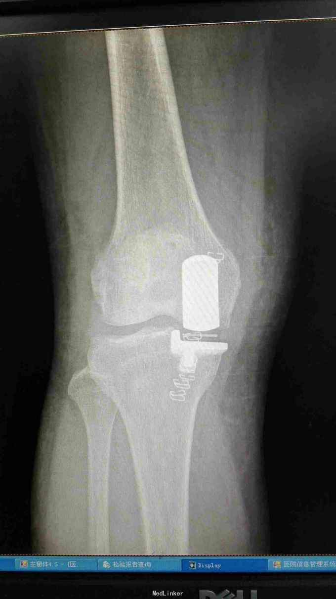
诊断:1、右股骨内侧髁骨坏死 2、右膝关节骨性关节炎 治疗:行右膝关节单髁置换术


术后当天下床站立,第二天行走,基本无疼痛,屈伸活动0~120。术后5天出院。 膝关节单髁置换是治疗单侧间室病变有效手段,临床上最常见为膝关节内侧单间室病变,与TKA相比,手术创伤小,恢复快,病人满意度高。行单髁置换满足条件必需是单间室病变,不能太肥胖,韧带完整,可纠正的内外翻畸形及屈曲挛缩小于15度,活动度基本正常。