下载或打开 医联APP 查看完整评论
立即下载
打开APP
患者女,83岁。因颈部紫红色肿物3个月,易出血前来就诊就诊。3个月余前患者颈后部无明显诱因出现一绿豆大肿物,逐渐增至蚕豆大,无痛痒感。当地医院给予头孢呋辛静脉滴注,皮损无好转。既往无其他疾病史记载,否认婚外性接触史。
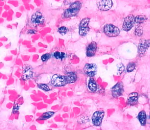
体格检查:系统检查未见异常。皮肤科检查:颈后部可见0.8 cm×1.5 cm圆形肿块,表面凹凸不平,乳头状,边缘清楚,质软呈暗紫红色,无脓痂,无脓性分泌物及鳞屑。实验室及辅助检查:无明显异常。皮损组织病理检查:表皮变薄,局灶坏死有核尘并见中性粒细胞浸润。真皮内大量新生毛细血管,部分扩张充血。内皮细胞肿胀增生,核分裂象多见,间质水肿伴有淋巴细胞为主的炎性细胞浸润,部分区域纤维组织增生。组织病理PAS染色未发现真菌。


诊断为化脓性肉芽肿。治疗:给予患者裸花紫珠片口服,2周后肿物均消退。嘱患者定期随访。
化脓性肉芽肿又称毛细血管扩张性肉芽肿,是一种后天性、良性结节状增生,多在皮肤穿透性外伤后发生,由新生成的血管形成息肉状损害。本例特点:①无明确外伤史,可能与患者是否有轻微损伤而无觉察有关,或确无外伤而患本病,其发病原因值得进一步探讨;②皮损为多发,可能与头皮局部血运较丰富有关,具体原因仍需探讨;③新生血管内皮细胞出现较多核分裂象,可能与炎症刺激严重有关。裸花紫珠片的有效成分包括黄酮类及缩合鞣质等,具有止血和抑菌作用。