下载或打开 医联APP 查看完整评论
立即下载
打开APP
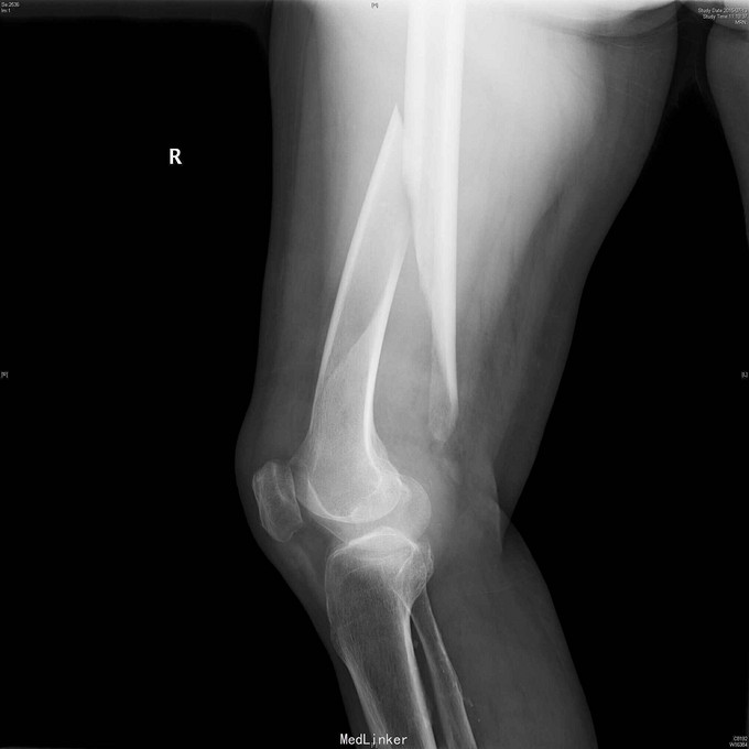
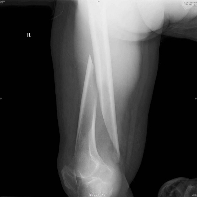
83岁女性,摔倒跪地致右大腿肿胀,疼痛,短缩内翻畸形一天。
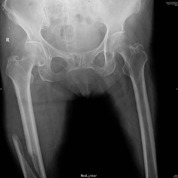
查体:右大腿中下段肿胀明显,淤血,压痛,短缩畸形。小腿感觉正常,足背动脉搏动好。 右股骨正侧位片:右股骨中下段长螺旋形骨折,移位短缩明显。



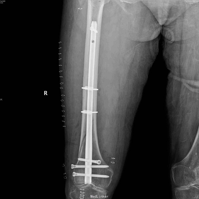
诊断:右股骨干骨折。 治疗:先行下肢牵引,排除血管神经损伤后,行股骨干中下段螺旋骨折倒打髓内钉技术治疗,术中先行股外侧入路切开用钢丝捆扎复位固定骨折,再穿钉。术后定期拍片复查,预防骨质疏松治疗。

随防:三个月后复诊,患者一般情况好,右大腿无肿痛,右膝可屈至100度。建议继续扶拐行走,并继续预防骨质疏松治疗。 讨论:本例为股骨干中下段长螺旋骨折,骨折线长,若行钢板固定,手术创伤大,软组织剥离多,骨折愈合慢,故选用了倒打髓内钉技术治疗,骨膜剥离少,骨折不愈合可能性小。但倒打钉经膝关节髁间入路,损伤关节面,技术要求高,对膝关节屈伸功能有一定影响,手术指征应严格把握。一起交流一下股骨骨折钢板固定和髓内钉固定的选择方面有何经验和技巧?