下载或打开 医联APP 查看完整评论
立即下载
打开APP
中年女性,慢性病程,5年前无明显诱因出现解黑便,伴头晕、乏力,至当地医院诊断为“十二指肠溃疡”,予护胃抑酸、输血、止血等对症处理,症状缓解后出院。随后5年间反复在劳累后出现乏力、黑便症状,一直服用“奥美拉唑”、“硫酸亚铁”。8日前再次在劳累后出现头晕、乏力、解黑便症状,症状较先前加重,现为进一步明确黑便原因来我院就诊。
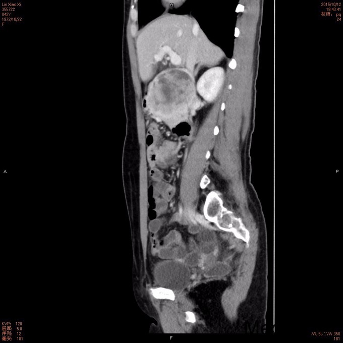
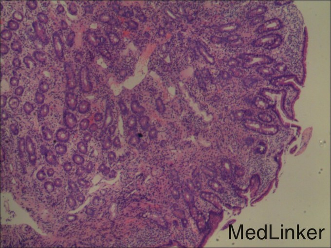
查体: 面色稍苍白,皮肤黏膜及巩膜无黄染,浅表淋巴结未及肿大,无肝掌及蜘蛛痣,无浅表静脉曲张,右上腹肋缘下处可触及一约5cm*5cm包块,界清,质软。 辅查: 电子胃镜:十二指肠降段溃疡未排恶变,病理诊断(十二指肠降段)粘膜组织呈慢炎性 腹部CT平扫+增强:胰头部肿块,考虑囊腺瘤可能性大。





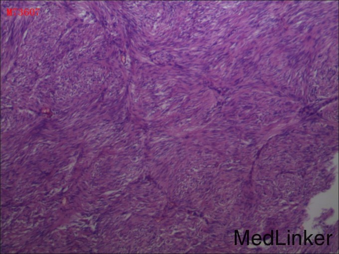
诊断:1.急性上消化道出血,2.胰头占位性病变3.十二指肠降部溃疡 治疗:完善术前检查,在全麻下行“根治性胰十二指肠切除术”,术程顺利,术后病理提示:十二指肠间质瘤,高危险度;出院后休息两周予格列卫口服化疗。
患者慢性贫血与消化道长期失血有关,当地仅凭一次胃镜活检未提示恶性病变,便只以良性病变诊治,应该说不全面。对于向腹腔外生性生长的肿瘤,内镜很多时候取不到合适的标本,此时需借助增强CT等影像学评估肿瘤生长情况。