下载或打开 医联APP 查看完整评论
立即下载
打开APP
主诉:摔伤后腰痛伴活动受限5天 现病史:患者自述于2015-4-21日下午5点左右摔倒,臀部先着地。后自觉腰部疼痛伴活动受限,位置固定,无放散性疼痛,当日就诊于灯塔市中心医院,行DR及CT检查示腰椎L2压缩骨折,现患者为求进一步诊治来我院就诊,急诊以“腰椎压缩骨折”为诊断收住院治疗。病来无发热,无头痛及头晕,无恶心,呕吐,无胸痛及呼吸困难,无腹胀及腹痛,饮食,睡眠良好,大小便未及异常。


专科查体:腰椎正常生理曲线减小,腰椎L2棘突叩压痛(+),棘突旁压痛(+)。腰椎活动明显受限,腰椎活动度因腰部疼痛严重不能配合检查。髂腰肌肌力(L5,R5),股四头肌肌力(L5,R4+),足趾背伸肌力(L5,R4+),跖屈肌力(L5,R4+),肌张力未及明显异常。直腿抬高试验(-),Babinski'sign(L-,R-),皮肤浅感觉及位置感觉无异常,双侧足背动脉搏动正常。


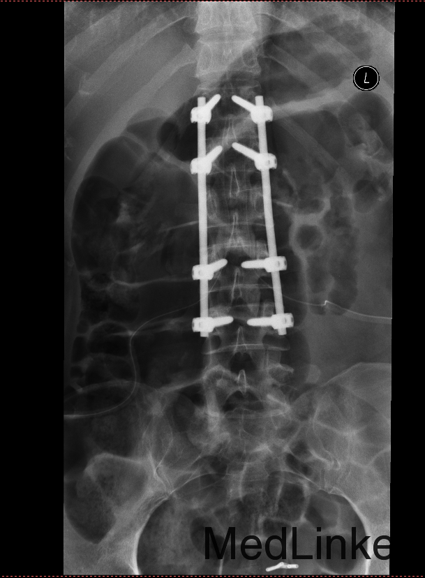
诊断 : 腰2椎体压缩性骨折; 患者入院后完善检查,完善肌电图等检查,查无手术禁忌症后行腰椎压缩骨折切开复位椎板减压椎管扩大椎弓根钉内固定术。术后患者生命体征平稳,无发烧发热,局部切口患者示良好,患者三天后拔除引流管后,自动退院


腰椎骨折,出现下肢神经症状,应尽早手术治疗,手术越早对患者的神经恢复越有利。