下载或打开 医联APP 查看完整评论
立即下载
打开APP
主诉:血尿伴腰痛检查发现半年 病史:患者半年前无明显诱因下出现血尿,为全程肉眼血尿,伴腰部酸痛,无恶心呕吐,无寒战高热,无咳嗽咳痰,无腹痛腹胀等不适主诉,未予特殊治疗,近日症状加重,患者入院寻求系统诊治,来我院就诊,行肾脏增强CT提示“右输尿管占位”,患者病来无发热,饮食可,睡眠可,体重无明显变化,大便正常。 入院后完善检查,诊断明确,无手术禁忌,于全麻下行经腹腔镜右半侧泌尿系切除术,术后患者间断出现腹胀伴隐痛,后转为持续性下腹部胀痛,术后第3天排气并排稀便3次,腹痛腹胀有所缓解,进少量流食。术后第5天再次出现腹胀,无腹痛,停止排气排便。以肠梗阻转入我科。 目前情况 : 患者目前腹胀较前缓解,仍有下腹胀痛,今日排便1次,查体:
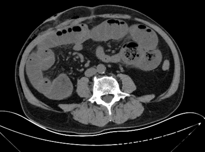
查体:P:79次/min BP 105/67mmhg SPO2 98% T36.8℃,全腹膨隆,无胃型肠型及蠕动波,脐周轻压痛,无反跳痛及肌紧张,未及包块,移动性浊音阴性,肠音消失。 辅助检查:腹部CT:右半侧泌尿系切除术后改变,肠梗阻(如图)





诊断:腹腔镜右半侧泌尿系切除术术后,炎性肠梗阻? 治疗:由泌尿外科转入我科后予抗炎,胃肠减压,抑酸抑酶,全肠外营养,腹部理疗等治疗近两周,无任何缓解迹象,后请中医科配制泻下类的中药服用1周仍无效。目前已是术后35天,肠音依然静悄悄................
讨论:请各位同道分享一些对术后炎性肠梗阻的治疗心得和方案。