下载或打开 医联APP 查看完整评论
立即下载
打开APP
患者男,10岁,因2个月来反复出现呼吸困难被收入呼吸科。
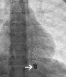
胸片显示左下肺叶的后背段有异物存在。在异物停留部位有支气管扩张的改变,说明有慢性炎症。

鉴于异物所处的部位过深,单独应用肺部介入技术取出异物难度过大,便决定联合心脏介入技术进行治疗。全麻并插入6.5mm的支气管导管。将2.8mm的支气管镜连接双轴旋转接头,在透视介导下,探查左主支气管直至不能深入。此时支气管镜距离异物仍有几毫米。撤出纤维支气管镜后,将4-Fr的Terumo指引导管和0.018英寸的Hi-Torque Flex-T导丝通过旋转接头送入。在透视介导下,导管很容送到了异物周围。之后将导管替换为6-Fr JR-4的大口径指引导管。
之后,将捕捞器、指引导管和支气管导管取出。操作全过程中,除了最后出现少量出血外,没有出现其他并发症。透视时间一共为45分钟,计划之后对患者进行肺叶切除手术。