下载或打开 医联APP 查看完整评论
立即下载
打开APP
打开应用
要求补牙
杭州用户
杭州滨江曾小法口腔诊所
主诉 病史
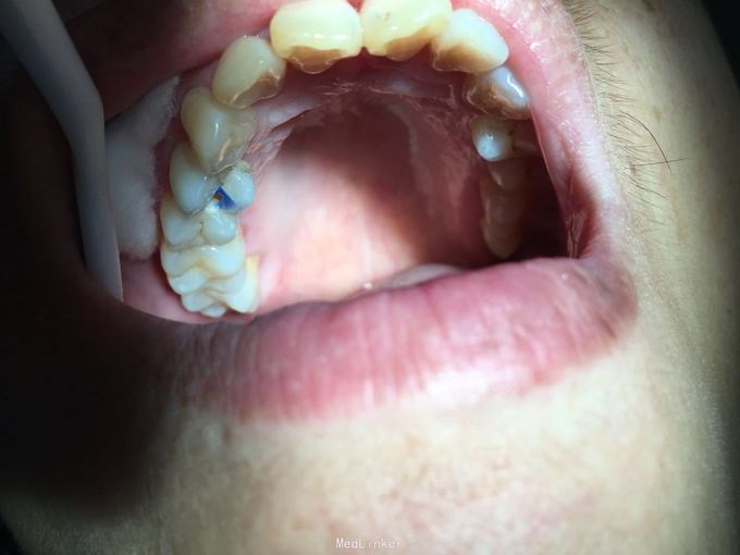
患者女,45岁,要求三甲医院医生补牙
发布于 15-10-30 16:02
医联推荐你看
要求补牙
要求补牙
要求补牙,
共
0
个评论
暂无评论
发送
0