下载或打开 医联APP 查看完整评论
立即下载
打开APP
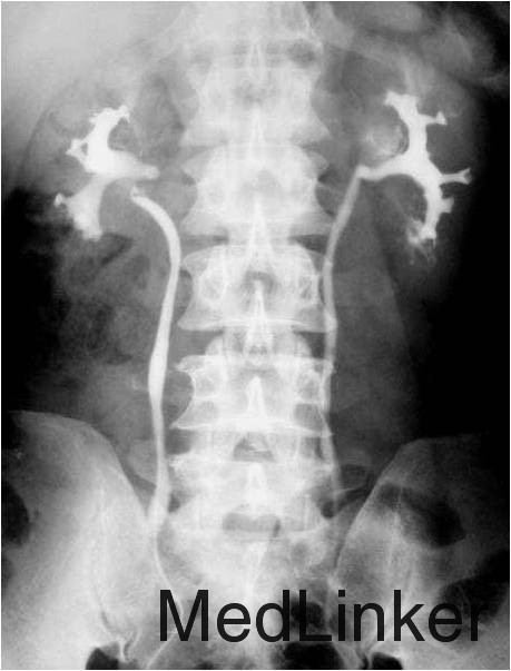
患者自述近10年来间断有右侧腰部胀痛不适,有高血压病史12年,间断服药,控制尚可,有胃癌手术病史21年,具体不详,自述效果好,今年2月来我院彩超发现右输尿管结石,予以钬激光碎石成功,术后未再复查,最近1月患者自感右腰部胀痛故来我院再次就诊
查体:右肾区轻度叩击痛,右侧输尿管深压痛,彩超检查右肾泥沙样结石。予以行逆行插管造影检查,发现右侧输尿管扭曲。膀胱,尿道未见异常

对于输尿管扭曲的患者,一般采取植入双j管,保留3-6月后复查的治疗方案,手术是下一步的治疗方案,
患者要求手术切除迂曲段,不愿意保守治疗,手术术后瘢痕形成及粘连可能导致再次扭曲或者狭窄,患者表示手术才能根治,不愿意置入管道,最后告知到华西或者首都医院进一步了解病情及治疗方案。