患者:27岁,女性。 主诉:咳嗽2月 病史:患者2月前无明显诱因出现咳嗽,无咳痰,未予特殊处理,当地医院CT检查提示双肺多发转移瘤,未予治疗。起病以来,精神食欲良好,
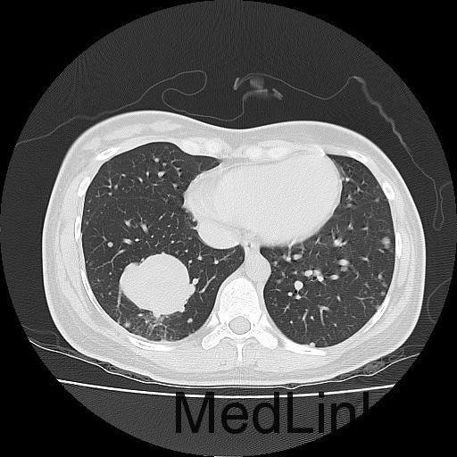
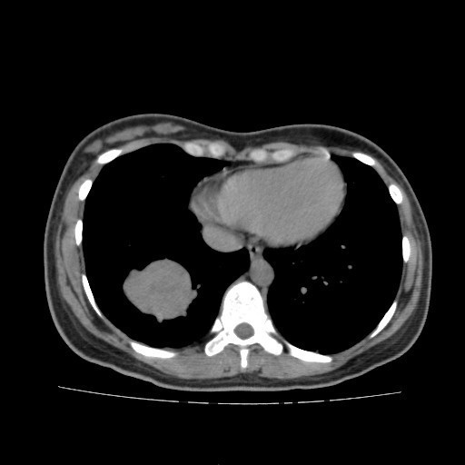
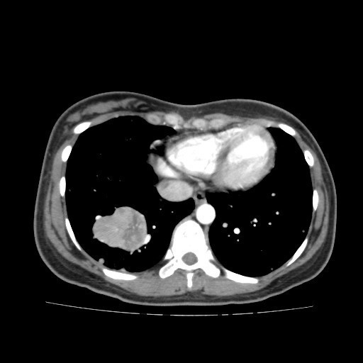
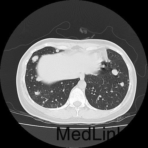
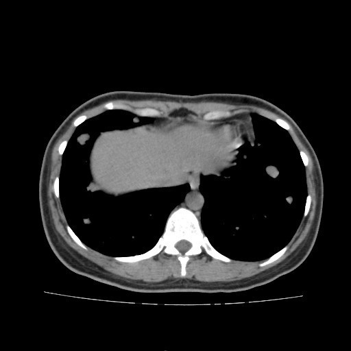
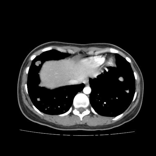
查体:右大腿上段较左侧增粗,后内侧皮下可触及大小约5*6cm肿物,质软,边界不清,活动度可,压痛(+),无波动感。 辅助检查:胸部CT:双肺多发转移瘤。






诊断:肺占位性病变(转移瘤?);大腿软组织疾患(右侧大腿肿物) 治疗:入院右下肢MR平扫+增强扫描:右侧大收肌软组织占位性病变,考虑间叶源性恶性肿瘤可能性大,血管源性可能?瘤周多发静脉曲张及侧枝循环形成,建议CT增强扫描进一步检查明确血管情况。遂于声引导下右大腿肿物穿刺活检,病理结果提示:(右大腿肿物)送检穿刺组织,肿瘤细胞形成器官样及腺泡状结构,细胞巢间为纤维性分隔,细胞呈大圆形、多边形,胞质丰富透亮,部分呈嗜伊红色,细胞核大,核分裂象少见,结合临床病史及免疫组化,考虑为腺泡状软组织肉瘤。免疫组化结果(①):CK(-),Vim(-),Ki-67(5%+),HMB45(-),MelanA(-),SMA(+),desmin(-),Myogenin(-),MyoD1(-),S100(-),NSE(部分+),CD56(-)。







1、 腺泡状软组织肉瘤:组织来源不明细胞呈腺泡样或器官样排列的软组织恶性肿瘤,称之为腺泡状软组织肉瘤。 2、好发于青春,女性多见,常位于四肢深部肌肉或筋膜,少数可见于腹壁,肛旁区,舌,腹膜后,颈背部,肿瘤生长缓慢,早期无痛,常偶然发现,大者直径可达6~10cm,瘤块虽增大不快,但血循丰富,浅表者可触及搏动。 3、治疗:原则上应施行肿瘤广泛切除术,边缘切除极易复发,此肿瘤对现行的化疗、放疗不敏感,疗效不肯定,