女,72岁,因右侧肢体无力、言语欠清9h入院。病人于9h前被家属发现右下肢活动不灵,伴言语欠清,能理解别人讲话,无头痛、头晕,无意识障碍,无肢体麻木。病人既往有高血压史,血压控制不满意。
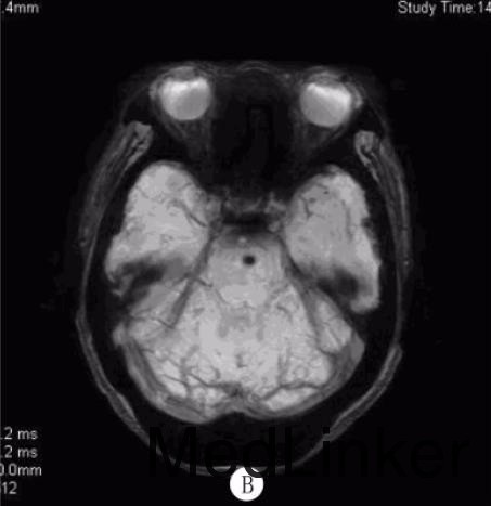
入院查体:BP158/98mmHg,神志清,构音障碍,双瞳孔等大等圆,对光反应灵敏,双眼各向活动充分,未见眼震,示齿口角不偏,伸舌居中,四肢肌张力正常,右下肢肌力4级,余肢体肌力正常,双侧病理征阴性,双侧感觉对称,颈软。急行颅脑CT 检查示:双侧侧脑室周围多发片状低密度影。颅脑MRI检查(距发病30余小时)示:双侧脑实质、脑干多发血管源性脱髓鞘,双侧基底核区多发脑软化灶,DWI序列可见脑桥偏左侧一圆形低密度灶,灶周稍高信号;SWI证实脑桥偏左侧及双侧基底核区多发顺磁性物质沉积。颅脑MRA检查示:颅内动脉粥样硬化改变。颈部血管超声检查示:双侧颈总动脉、左侧颈内动脉粥样硬化斑块(易损斑块)形成。


诊断:脑微出血?给予阿司匹林抗血小板聚集、阿托伐他汀稳定斑块、改善循环及对症支持治疗,病人右下肢无力稍缓解。5d后病人右下肢无力较前加重,查体示右侧肢体肌力3级,复查颅脑MRI示:脑桥偏左侧脑梗死。加用氯吡格雷抗血小板治疗,病人症状渐好转,病情平稳后给予降压治疗,出院时仍言语欠清,右侧肢体无力较前好转。

脑微出血(CMB)反映脑小血管疾病的出血倾向,是高血压性小血管病和脑淀粉样血管病的影像学标志,多被认为是无症状性的,缺乏急性临床表现。但WATANEBE等报道1例在中脑急性形成的CMB导致核上性眼肌麻痹,认为单个CMB在功能区急性形成也可能引发临床表现。此外,脑淀粉样血管病和高血压病人出现短暂性神经功能障碍也可能与CMB有关。该例病人首次出现右下肢无力时颅脑CT及MRI检查均未见明显责任病灶,但DWI序列可见脑桥偏左侧一圆形低密度灶,后经SWI检查证实为CMB。病人既往有高血压史,急性起病,脑内可见多发白质病变、腔隙性梗死等脑小血管病标志,但均非急性形成,在运动传导通路上可解释临床症状的仅有脑桥左侧CMB。由此推测其首次无力原因可能为脑桥单发CMB,此CMB与基底核区CMB影像学表现的不同可能反映了这两类CMB发生机制及病理学表现的差异,其病灶边缘呈环形DWI高信号也支持此CMB为急性形成。提示少数临床疑诊急性脑血管病的病人可能由急性CMB形成引起,对CMB的检测可能有助于诊断和鉴别诊断。但由于该病人发病前未行CMB检测,该单发CMB是否为急性形成尚不能肯定。DOI:10.13361/j.qdyxy.201502039