下载或打开 医联APP 查看完整评论
立即下载
打开APP
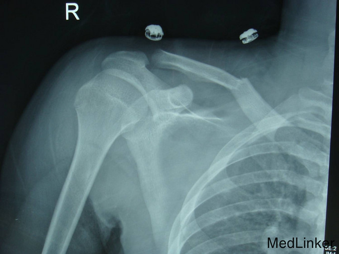
患者自述于2014年6月2日晚上走路时被出租车撞倒,伤后自觉右肩关节疼痛活动受限,于当地医院就诊,拍DR示:右锁骨骨折,今为求进一步系统治疗来我院,行相关检查后,急诊以“右锁骨骨折”为主要诊断收入我科,伤后无一过性昏迷,无头痛,无恶心呕吐,无发热、咳嗽咳痰、乏力、盗汗,体重最近无减轻,饮食可,二便正常。

专科检查:有上肢吊臂带固定中,有侧锁骨中段可见畸形,可触及骨擦感,压痛(+),肿胀,左肩活动受限,右上肢无明显麻木,桡尺动脉清楚,各手指感觉活动可。
诊断:右锁骨骨折(Allman I) 患者入院后完善检查,查无手术禁忌症后行右锁骨骨折切开复位钢板内固定术,术后6小时后患者下地行走,术后第二天出院。
