主诉:丙肝抗体阳性13年,间断乏力4年,介入术后6周 现病史:患者13年前体检发现丙肝抗体阳性,肝功正常。4年前无明显诱因出现乏力症状,化验肝功轻度异常,HCVRNA阳性,应用长效干扰素联合利巴韦林抗病毒治疗,之后患者自行终止。1个半月前无明确诱因乏力加重行介入治疗一次,近期无恶心及呕吐,无胸闷及气短,无腹痛及腹胀 近4年来,患者偶有心前区不适症状,心电图示窦性心律,左室肥大伴劳损,未治疗。
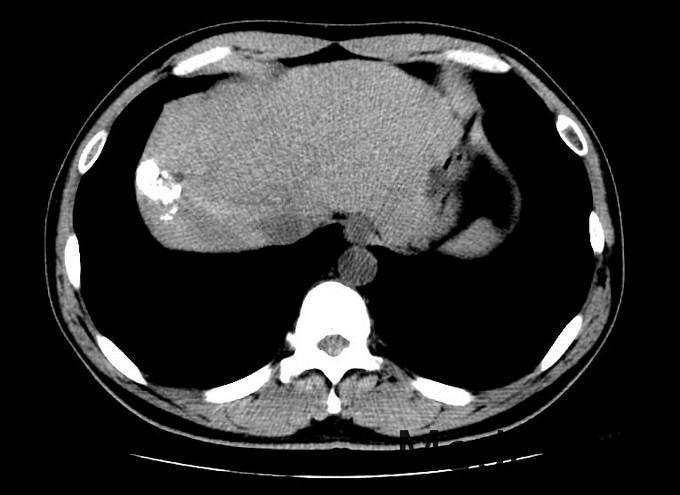
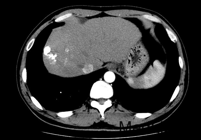
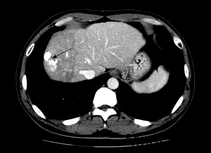
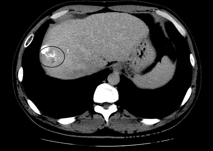
查体:血压131/76mmHg.神志清晰。颜色正常,无皮疹及瘀点。无肝掌。浅表淋巴结未触及肿大。眼睑无水肿,巩膜无黄染,结膜正常。双侧瞳孔等大正圆。心肺听诊无异常。腹型平坦,无腹壁静脉曲张,未见胃肠型及蠕动波,无瘢痕,脐部正常。腹软,无压痛及反跳痛,无腹肌紧张,未触及包块。肝未触及,Murphy征阴性,脾未触及,无触痛,肾未触及。无肝区叩击痛,肝上界位于右锁中线第6肋间,无肾区叩击痛,无脾区叩击痛。移动性浊音阴性。四肢活动自如,无双下肢水肿。扑翼样震颤阴性。 化验:血细胞分析:白细胞计数 3.9 10^9/L、血小板计数 121.0 10^9/L、血红蛋白 134 g/L,肝功酶谱:丙氨酸氨基转移酶 50 U/L、总蛋白 73.5 g/L、白蛋白 42.4 g/L、总胆红素 13.3 umol/L,凝血五项:凝血酶原百分活动度 76.4 %,丙肝抗体 27.90 S/CO,丙肝病毒RNA定量 <1.0E+03 IU/ml,甲胎蛋白 1296.00 ng/mL, 肝脏增强CT示:肝硬化,脾大,腹水少量。肝癌介入手术治疗后,S8段强化灶。肝右叶灌注异常,考虑门脉右前支受侵。




诊断:1丙肝肝硬化 活动期 代偿期 HCC术后 2高血压 治疗:入院后休息,低脂低盐软食。肿瘤辅助治疗,静点苦参碱。抗病毒,口服daclatasvir和sofosbuvir联合利巴韦林。控制血压,口服替米沙坦抗纤维化。对于S8段强化灶,考虑疾病进展,再行TACE治疗。
术后:查体:眼睑无水肿,巩膜无黄染。心肺听诊无异常。腹软,无压痛及反跳痛,无腹肌紧张,未触及包块。肝未触及,Murphy征阴性,脾未触及,无触痛,肾未触及。无肝区叩击痛,无肾区叩击痛,无脾区叩击痛。移动性浊音阴性。 化验:血细胞分析:白细胞计数 8.8 10^9/L、红细胞计数 4.04 10^12/L、血小板计数 113.0 10^9/L、血红蛋白 131 g/L、中性粒细胞百分比 88.4 %,肝功酶谱:丙氨酸氨基转移酶 258 U/L、天门冬氨酸氨基转移酶 245 U/L、白蛋白 34.1 g/L、总胆红素 29.4 umol/L,凝血五项:凝血酶原时间 12.2 秒,C反应蛋白测定:C反应蛋白 1.50 mg/L,降钙素原检测:降钙素原测定 0.08 ng/ml,甲胎蛋白测定:甲胎蛋白 1294.00 ng/mL。 患者6周前行一次TACE治疗,本次为病情进展,提示我们TACE术后必须加强随访,定期复查CT。