患者,男,50岁,职员;因“胸腹部疼痛5小时余”入院;患者于5小时无明显诱因感胸、腹、背部疼痛,为持续性胀痛,较剧烈,疼痛剧烈时有撕裂感,与活动无明显关系,影响呼吸,感胸闷,活动耐力下降,活动后稍感喘息,无明显心悸,无发热,无恶心呕吐,感腹胀,无腹痛腹泻,无皮疹及关节痛,到当地医院就诊,行胸部CT不排除主动脉夹层可能,现为行进一步治疗,急诊以“胸背痛查因:主动脉夹层?”收入院;病程中,患者精神食欲睡眠差,大小便正常,体力下降,体重无变化。既往史:有高血压病史。无药物过敏史。
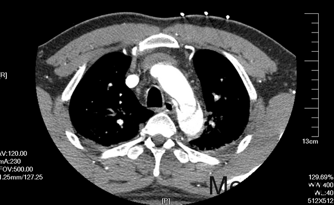
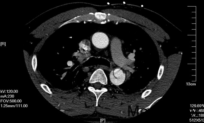
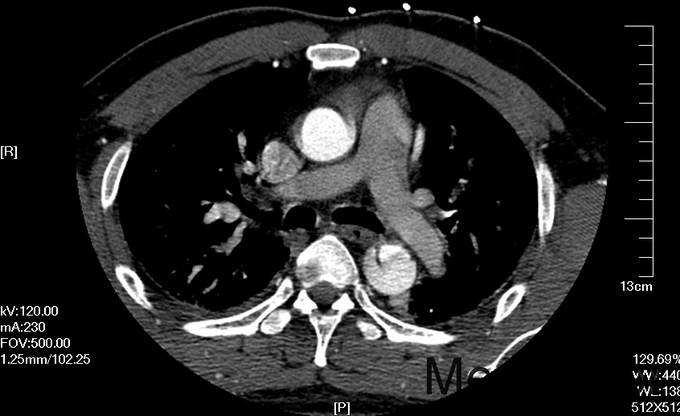
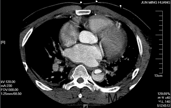
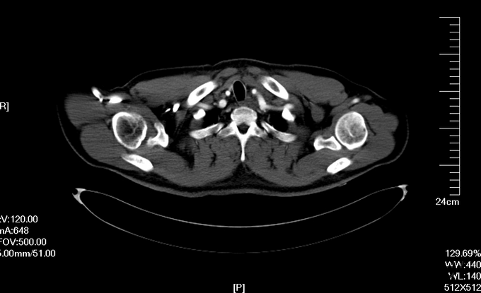
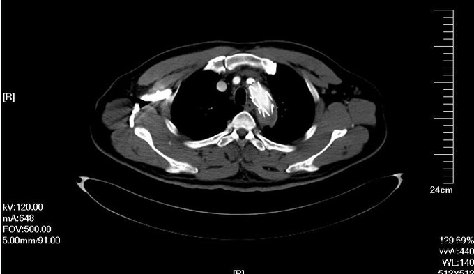
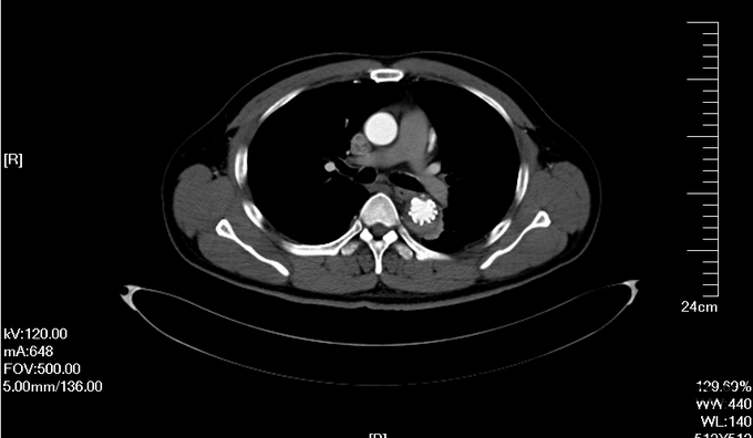
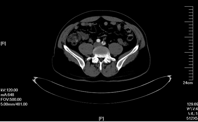
入院查体:体温36.5℃,脉搏90次/分,规则,呼吸18次/分,规则,血压150/80mmHg,胸廓正常,无胸骨叩痛。呼吸运动正常,语颤正常,无胸膜摩擦感,无皮下捻发感,叩诊正常清音,肺下界正常,双肺呼吸音粗,呼吸音对称,无罗音。心音可,心率90次/分,无杂音,腹部无压痛,无反跳痛,肝肋下未及,胆囊无压痛,Murphy征阴性,脾肋下未及,肾区无叩痛,双下肢不肿。入院后完善相关检查(胸腹主动脉CTA:主动脉夹层动脉瘤;两侧胸腔少量积液。)





予以诊断:1.主动脉夹层动脉瘤;2.高血压3级,极高危组。诊断明确后行“左颈总动脉-腋动脉转流手术+胸主动脉覆膜支架腔内隔绝术”。左侧颈部切口,游离出左侧颈总动脉,左侧锁骨下动脉,左侧椎动脉等分支。使用8mmG-tex血管一端与左锁骨下动脉行端侧吻合,G-tex血管另一端与左侧颈总动脉行端侧吻合。经右侧股动脉入路造影见主动脉夹层,破口位于左锁骨下动脉开口医院0.5cm处。左锁骨下动脉近端封闭,桥血管通畅,腋动脉及左侧椎动脉血流良好。置入美敦力胸主动脉覆膜支架(28*157mm),定位后释放。造影见胸主动脉支架释放良好。





主动脉夹层为大血管急诊,B型主动脉夹层相对预后良好。保守治疗效果尚可,近期死亡率相对不高。但对于年轻患者,我们积极治疗。患者B型主动脉夹层,破口位于锁骨下动脉附近。拟行腔内修复术。但患者破口离锁骨下动脉较近,若直接封闭,可影响左上肢活动及椎动脉顺行血流。故根据患者情况行一期复合手术(即“左颈总动脉-腋动脉转流手术+胸主动脉覆膜支架腔内隔绝术”)。术后复查可及左侧锁骨下动脉通畅,血流灌注可。可及假腔内明显血栓化。