下载或打开 医联APP 查看完整评论
立即下载
打开APP
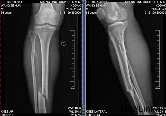
患者2014年11月28日晚上20时自己走路不慎掉入沟中,伤及右小腿,伤后自觉右小腿疼痛明显,肿胀,畸形,遂急诊来中国医科大学盛京医院急诊外科就诊,行右胫腓骨正侧位,提示右胫腓骨骨折,患者为求进一步治疗来我科就诊,急诊以“右胫腓骨骨折”为诊断收入院


患者平车入病房,被迫卧位。有小腿活动受限,肿胀明显、,压痛(+),叩击痛(+),,骨盆分离试验(-),挤压试验(-)右下肢皮肤感觉略麻木,足背动脉可扪及搏动,末梢血运可,足趾可活动。
患者入院后消肿,冷敷等对症治疗,完善相关生化检查后,一星期后局部皮肤褶皱试验阳性后,行右胫腓骨骨折闭合复位髓内针内固定术。术后局部冷了消肿等治疗。

