打开应用

特殊的壶腹部癌一例--因胆管变异而无黄疸症状!

吴医师   上海交通大学附属第六人民医院
腹水 肿瘤 腺瘤

主诉 病史

患者女,65岁。因“反复右上腹饱胀不适5年,无黄疸纳差”入院。患者5年前无明显诱因下出现右上腹疼痛不适,不能自行缓解,当地医院就诊予对症治疗后好转,行保守治疗,近几年发作频率明显增高,故来我院门诊就诊,B超(2015年4月01日):胆囊内部高回声堆积,考虑泥沙样结石,胆囊偏大胆总管、肝内胆管及主胰管扩张。胆囊大小:125*31mm,CBD直径:1.2cm,胆囊壁厚度:0.3cm。现为进一步诊治,拟“胆囊结石伴慢性胆囊炎,胆总管扩张”收入院。

查体 辅查

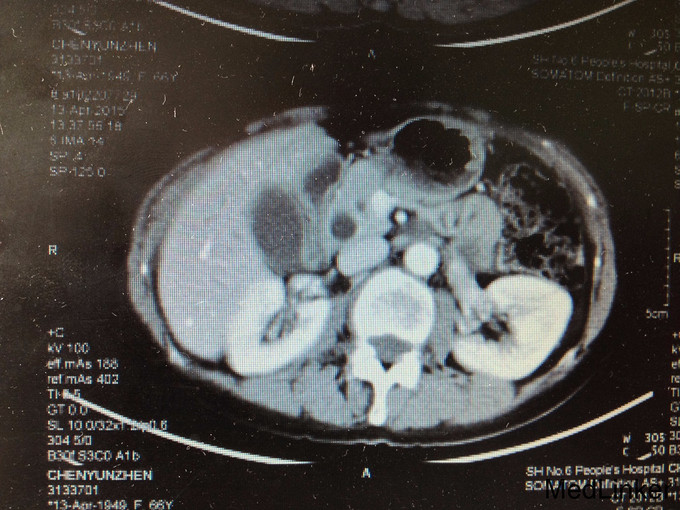
查体:皮肤巩膜无明显黄染,腹部平坦,未见明显胃肠型及异常隆起,全腹软,右上腹部压痛不明显,无反跳痛,无肌卫,无腹部反跳痛,全腹无包块,肝脏肋下未触及,脾脏肋下未触及,无肝区叩击痛,Murphy’s征阴性,肠鸣音正常,移动性浊音-。 辅查:血常规(2015-4-1):WBC:5.9×109/L,N:57.6%,RBC:4.17×1012/L,Hb:127g/L,PLT:196×109/L。肝功能:ALT:109U/L,AST:87U/L,TB:18.6umol/L。肿瘤标记物:AFP:2.7ug/L,CEA:4.71ug/L,CA19-9:37.19KU/L。 2015-4-13 上腹部MRI报告:1.胆总管下段异常信号,胆总管、胰管轻度扩张,胆总管下段结石可能大,必要时MRI增强检查,排除胆总管下段占位。2.胆囊颈结石,胆囊增大。3.附见;肝脏左叶囊性病灶。 2015-4-14上腹部增强CT报告:1.胆总管下端异常强化,结石可能,肝内外胆管及主胰管扩张,胆囊增大,必要时MRI增强进一步检查。2.肝脏小囊肿。

诊断 处理

治疗经过:患者入院后于无明显诱因下出现右上腹疼痛,压痛明显,拒按。结合腹部CT及MRI影像学表现,胰胆管明显扩张,考虑急性胰腺炎发作。辅查:淀粉酶(干式) 1640 U/L ↑。总蛋白 61 g/L ,白蛋白 36 g/L ,白/球比例 1.4 ,谷丙转氨酶 218 U/L ↑,谷草转氨酶 183 U/L ↑,γ-谷氨酰酶 548 U/L ↑,总胆红素 13.3 μmol/L ,直接胆红素 5.4 μmol/L ,肌酐 66 μmol/L ,血清钾 4.3 mmol/L ,血清钠 142 mmol/L ,血清氯 106 mmol/L ↑。白细胞 6.3 *10^9/L ,红细胞 3.84 X10^12/L ,血红蛋白 117 g/L ,细胞比积 35.9 % ,血小板 197 X10^9/L ,中性细胞百分比 58.7 % 。甲胎蛋白(AFP) 2.68 ng/mL ,癌胚抗原(CEA) 4.99 ng/mL ,糖类抗原(CA125) 6.91 U/mL ,糖类抗原(CA199) 39.45 U/mL ↑。处理:予禁食,查血、尿淀粉酶,抑酸、保肝、补液支持治疗,经治疗后症状缓解。后因患者无黄疸,为进一步明确胆总管梗阻原因,行ERCP+ERBD+十二指肠乳头活检术。 检查治疗经过:十二指肠镜进入十二指肠,降部内侧见乳头,十二指肠乳头肿大,粘膜面外观正常,触之易出血。BOSTON-Jagwire导丝留置胰管,BOSTON-Jagwire导丝进入胆管引导COOK-FS-OMNI导管造影,胆管显影,胆管扩张,胰管造影胰管扩张。胆管胰管内未见充盈缺损。十二指肠乳头开口处取四块活检。放置辛菖猪胆道引流管(8.5F,6cm),辛菖胰管引流(F5,4cm),引流畅。结合MRI及CT考虑壶腹部占位可能。 十二指肠乳头活检病理:绒毛状腺瘤伴部分腺体重度不典型增生,局灶癌变。 患者术前诊断为十二指肠壶腹部癌,行剖腹探查,胰十二指肠切除术。术中见:见腹腔内无腹水,腹膜、盆腔内、大网膜、肝脏、肝十二指肠韧带、胰腺周围、腹腔动脉周围、肠系膜根部、腹主动脉旁等无转移性结节和肿大淋巴结。探查见此患者左右肝胆管的汇合处接近胆胰管汇合处,右侧肝胆管壁水肿增粗,十二指肠乳头部肿块大小0.3cm,行胰十二指肠完整切除。 术后病理检查报告:下半胃、胰腺、十二指肠;标本类型:切除胰腺大小 4×4×1 CM,十二指肠长 15CM,胃小弯长 8 CM,大弯长 11CM,胆囊9×3×1.5CM;肿瘤部位:肿瘤位于十二指肠乳头,大小0.5×0.3CM;组织学类型内容: 腺癌II级;血管浸润(-),淋巴管浸润(-),神经周围浸润(-);切缘: 上、下切缘及胰腺切缘均未见癌;淋巴结:以下淋巴结均未见癌转移:胰腺旁LN:0/8枚,胃大弯LN:0/6枚,胃小弯LN:0/3枚。;淋巴结免疫反应状态: SH(+), PH(+), GH(+);肿瘤旁病变: 粘膜组织慢性炎(十二指肠乳头):腺癌II级,肿瘤侵及肌层,未累及胰腺,胰腺导管扩张,小胆管增生伴中度不典型增生。(胆囊):慢性胆囊炎伴腺体增生。肿瘤组织免疫酶标记结果:CA199(-)、CEA(+)、S-100(-)、CK19(+)、CK7(+)、CDX2(-)、CK(-)、Ki67(80%+)。

随访 讨论

随访:此患者手术后恢复顺利,术后恢复情况良好出院,患者术后一月门诊随访时一般情况良好。 讨论:此患者入院时的症状不典型,尤其是患者无黄疸症状,但是影像学检查提示胆囊及胆管扩张,结合ERCP活检病理明确癌后才行Whipple术,至于为什么此患者无黄疸症状,可能和此患者的左右肝胆管交汇处位置偏低,胆管梗阻只限于右肝管,且胆囊管开口汇合于右肝管有关,这和患者先天的胆管发育异常有关,若患者未及时治疗有可能延误病情。 问题来了:这个患者属于十二指肠乳头腺癌,严格上说这个患者归类于肠癌一类,所以这个患者术后的化疗方案和肠癌的化疗方案一致,不知大家有没有碰到过类似的病例?还有术后的辅助治疗还有什么其他的建议,欢迎大家提意见。

发布于 15-10-28 19:52

54 个评论

发送