下载或打开 医联APP 查看完整评论
立即下载
打开APP
打开应用
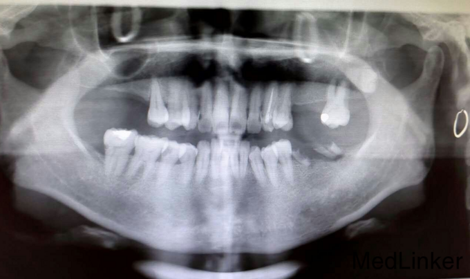
患者女49岁 后牙缺失欲种植
洁雅用户
洁雅口腔
主诉 病史
后牙缺失欲种植
发布于 15-10-28 18:48
医联推荐你看
患者男39岁 后牙缺失 欲种植
患者女48岁后牙缺失 欲种植
患者女45岁后牙缺失 欲种植
共
0
个评论
暂无评论
发送
0