下载或打开 医联APP 查看完整评论
立即下载
打开APP
打开应用
根尖脓肿
吉林用户
吉林省通化市团结医院
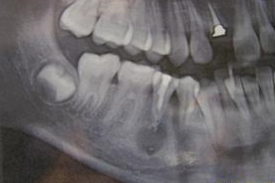
主诉 病史
主诉:左上后牙疼痛一周余。 病史:左上后牙牙冠缺损一年余未治疗现疼痛明显夜间痛加重故前来就诊
发布于 15-10-28 17:40
医联推荐你看
根尖脓肿
根尖脓肿
根尖脓肿
共
0
个评论
暂无评论
发送
0