下载或打开 医联APP 查看完整评论
立即下载
打开APP
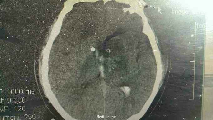
患者男性,56岁。以突发头痛伴意识不清半小时入院。患者入院半小时前突然自觉头痛,性质剧烈,呕吐多次,随即意识不清。来我院就诊。
浅昏迷状态,无语言。刺激后右侧肢体不动,左侧肢体可动。双侧瞳孔等大正圆,直径3.0毫米,光反射迟钝。右侧病理反射阳性。



脑出血,高血压病 急诊行微创硬通道内镜下血肿清除术,术中清除大部分血肿,患者术后第二天清醒右侧肢体三级,语言迟缓。
高血压脑出血是脑血管病患者死亡率和致残率都很高的一种疾患。死亡率一直都在50%以上,75%以上存活者遗有不同程度的残疾 。外科手术方法主要有两大种:一种是骨瓣或小骨窗开颅清除血肿。 适用于出血部位不深,出血量大、中线移位严重、术前病情在Ⅲ级以上,已有脑疝形成,此手术多需对患者实行全身麻醉,手术创伤大,增加病人负担,且适应征局限,病死率、致残率都较高。其优点是可在直视下彻底清除血肿,达到立即减压的目的,止血效果满意,同时术中还可去骨瓣减压。 第二种方法为微创小骨窗,内镜或钻孔或锥孔穿刺血肿清除术。手术损伤小,手术效果比较好。



