下载或打开 医联APP 查看完整评论
立即下载
打开APP
患者男,31岁。因躯干、四肢暗红色斑丘疹伴瘙痒2年余就诊。家族中无类似疾病患者。
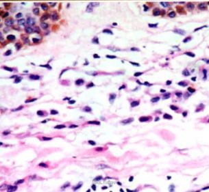
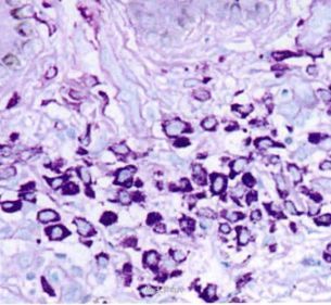
皮肤科检查:躯干、四肢泛发粟粒至黄豆大圆形或椭圆形暗红色斑丘疹.散在分布.以躯干为主.Darier征阳性。实验室及辅助检查:未见异常。皮损组织病理检查:表皮正常.真皮内可见单一核细胞弥漫浸润,细胞中等大小、形态一致,核呈圆形、卵圆形或肾形,位于细胞中央,胞质淡染或透明,核分裂象偶见;真皮浅层尚可见灶性淋巴细胞浸润:吉姆萨染色可见部分细胞内有紫红色嗜异染颗粒。




诊断:皮肤肥大细胞增生症。治疗:口服左西替利嗪5 mg Qd及复方甘草酸苷50 mg tid,治疗15 d后观察有一定疗效。
仍在随访中。