下载或打开 医联APP 查看完整评论
立即下载
打开APP
主 诉:摔伤致右肘关节肿痛伴活动受限约9个小时 现病史:约9小时前在家中玩耍时不慎摔倒,右肘关节触地,即感右肘关节疼痛,肿胀,活动受限。当时无昏迷及呕吐。被家人送入逻岗乡卫生院救治,经检查拍片诊为“右侧肱骨髁上骨折”,建议转上级医院行手术治疗。为进一步治疗,转入我院就治,经检查后以“右侧肱骨髁上骨折”为诊断收入我科。发病以来,神志清楚,精神尚可,无恶寒发热,饮食、大小便正常,睡眠可,体重无明显变化。


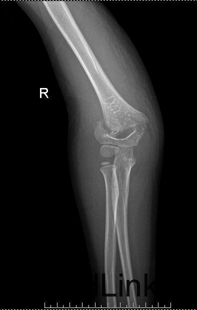
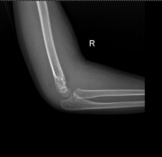
专科检查:步入病房,查体合作。右肘关节肿胀,局部压痛阳性,纵向叩击痛阳性,肘关节功能活动受限明显。肘后三角失常,可触及骨擦音及骨擦感,右上肢皮肤感觉正常,末梢血液循环好。远端手指未见肿胀,各手指感觉、运动良好。 右肘关节正侧位片 :右侧肱骨远端骨质断裂,断端旋转移位。周围软组织肿胀,层次不清。
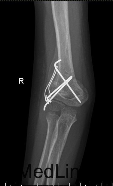
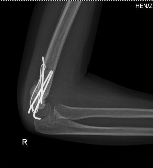
诊断:右侧肱骨髁上骨折 治疗:全麻下行“右侧肱骨髁上骨折切复内固定术


1、出院后继续功能锻炼,避免剧烈活动及外伤; 2、加强营养,促进骨折愈合; 3、定期复查,出院后2周来院复查; 4、住院及康复期间需陪护护理; 5、骨折愈合后需二次手术取内固定