下载或打开 医联APP 查看完整评论
立即下载
打开APP
主诉:头晕头痛5月余,伴听力下降视物模糊3个月 病史:患者28岁女性,于5个月前无明显诱因出现头痛头晕,3个月前出现视物模糊,伴耳鸣,于外院行头颅MRI提示:左侧桥小脑角区占位,考虑听神经瘤。

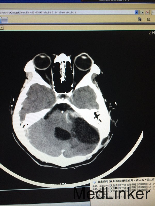
查体:左侧轻微面瘫,左侧面部感觉稍减退,余无特殊 辅助检查:头颅CT提示左侧桥小脑角区类圆形肿物,考虑听神经瘤可能,四脑室受压变窄并右移


诊断:左侧听神经瘤 治疗:行左侧桥小脑角区占位切除术,术后病理提示左侧桥小脑角神经鞘瘤


随访:术后患者声音嘶哑及喉部异物感,余无特殊并出院 讨论:患者年轻女性,为耳部症状首发病,同时也有头部症状,首先考虑听神经瘤。听神经瘤是指起源于听神经鞘的肿瘤,为良性肿瘤,确切的称谓应是听神经鞘瘤,是常见颅内肿瘤之一,占颅内肿瘤的7%~12%,占桥小脑角肿瘤的80~95%。多见于成年人,高峰在30~50岁,20岁以下者少见,儿童单发性听神经瘤非常罕见,迄今为止,均为个案报道。无明显性别差异。左、右发生率相仿,偶见双侧性。临床以桥小脑角综合征和颅内压增高征为主要表现。听神经瘤首选手术治疗,可以完全切除、彻底治愈。如果手术残留,可以考虑辅助伽马刀治疗。



