下载或打开 医联APP 查看完整评论
立即下载
打开APP
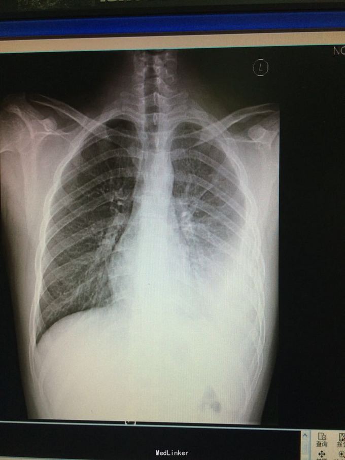
16岁男性,既往体健。 主诉:发热5天。 现病史:5天前无明显诱因出现反复发热,T波动在38-39度,伴畏寒、寒战,无咳嗽、咳痰。我院急诊胸片示:左肺炎症,左侧少量胸腔积液。遂入院。

查体:左下肺呼吸音减弱,双肺未及明显干湿啰音。 辅查:床边B超示左侧胸腔积液,最大前后径40mm。血常规、PPD、结核抗体正常,CRP 145mg/l,ESR 61mm/h,T-spot阳性。予胸腔穿刺术,引流出黄色液体,实验室检查示炎性渗出液。


诊断:结核性胸膜炎。 入院后先予头孢唑肟、阿奇霉素抗感染治疗,体温无明显下降。3天后结合患者胸水性质,改予异烟肼、利福平、吡嗪酰胺、乙胺丁醇抗结核治疗,体温可降至正常。


随访:未能引流胸水后,查胸部CT未见明显肺部病灶。继续予抗结核治疗并予出院。 讨论:目前治疗效果支持结核性胸膜炎诊断。患者症状不支持结核,但就年龄、胸水性质而言,高度支持结核感染。临床中很多疾病都不像教科书那般典型,需注意。

