下载或打开 医联APP 查看完整评论
立即下载
打开APP
患者,男,52岁,因体检发现左下肺肿物12天入院。患者无咳嗽、咯血、胸痛、呼吸困难、发热、乏力纳差等异常症状,体质量无减轻。既往吸烟20年(约20支/d)高血压病史20年,冠心病10年,糖尿病6年。
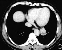
检查:胸部CT示左下肺叶内基底段类圆形肿块影,边界较光滑,密度欠均匀,其内可见点状高密度钙化影,CT值23-55Hu,大小约50.9mm x35.5mm x34.5mm,纵膈未见肿大淋巴结,气管及左右主支气管通畅。增强扫描:病灶呈不均匀明显强化,上部呈软组织密度影,下部呈囊样密度影。


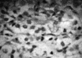
诊断:左肺肿物性质待查(术前) 肺透明细胞瘤(术后) 治疗:行左肺叶切除术,术中见肿物位于左肺下叶内,大小约55mm x45mm x18mm,肿物切面囊实性,囊内容物已流出,实性区灰白灰褐色,局部坏死,内见钙化。病理诊断为肺透明细胞瘤。
随诊13个月,情况良好。 讨论:透明细胞瘤是良性肿瘤,生长缓慢,但个别有恶性倾向。曾经有报道过明确诊断的透明细胞瘤发生肝和腹腔转移而致死的病例。因此,对肺透明细胞瘤不应该像对待其他肺良性肿瘤那样过长时间的观察,应该尽早手术切除,术后进行长期随访。DOI:10.3969/j.issn.0253-9896.2013.01.034