下载或打开 医联APP 查看完整评论
立即下载
打开APP
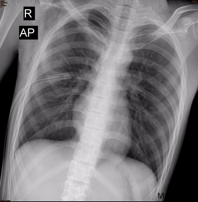
15岁男性患者,因突发右侧胸闷胸痛伴咳嗽2周收住入院,呈阵发性干咳,无气促、心悸、心慌、恶心、呕吐、乏力、视物模糊、咳痰、咯血、痰中带血等表现,到当地医院就诊,行胸片提示右侧自发性气胸,予以行胸腔穿刺抽气治疗2次,效果欠佳,予以行胸腔闭式引流术,仍有持续漏气,为求进一步治疗来我院就诊。有过敏性哮喘病史5年。
查体:患者呈瘦高类型,胸廓无畸形,肋间隙变窄,左肺叩诊呈清音,呼吸音清,右肺叩诊过清音,呼吸音弱,双肺未闻及异常呼吸音及干、湿罗音。辅查: 胸部CT1.右侧气胸,右肺组织受压缩约80-90%;右侧胸腔内见一引流管留置; 2.双上肺肺大疱; 3.右侧腋下、胸壁皮下气肿。


诊断:右侧肺大疱并自发性气胸 治疗:完善相关术前检查,行“胸腔镜右上肺楔形切除术+胸腔粘连松解术”,术程顺利,术后恢复可,现患者一般情况可,正常进食,无胸闷气促等不适。查体生命体征平稳,切口II/甲愈合,予出院。
患者精神体力良好,复查CT双肺未见明显异常,建议我科及呼吸内科随访。自发性气胸是指因慢性支气管炎、肺气肿、肺结核等疾病使脏层胸膜自行破裂而发生的气胸,男性青壮年较多见。一般予以胸腔闭式引流和高浓度氧吸入,破口多可自行闭合,但如本身有肺大泡,则需行外科治疗,消除瘘口,其他则针对基础病治疗。