下载或打开 医联APP 查看完整评论
立即下载
打开APP
主诉:反复乏力、纳差2月余。身目黄染1月余。 病史:患者中老年男性,2月前出现乏力、纳差,查乙肝两对半示大三阳,上腹部CT示肝硬化,予护肝等治疗后好转出院。1月前天前出现身目黄染,伴瘙痒,再次入院。 既往史:患者有肝癌家族史(父亲肝癌去世)
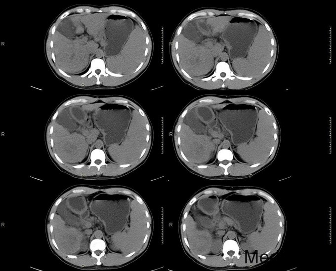
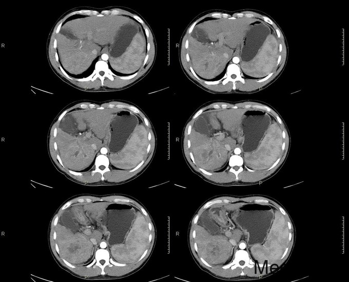
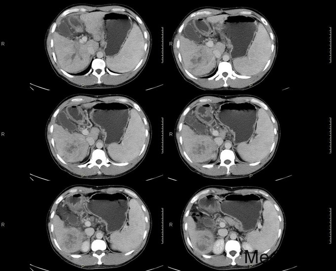
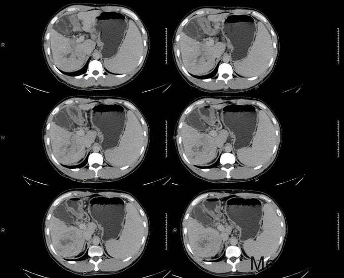
查体:慢性肝病体征,肝掌阳性,蜘蛛痣阳性,胸前毛细血管扩张,腹水征阳性,肝脾肋下可触及。 辅查:生化:谷草146,谷丙110,总胆184,直胆114,白蛋白38,凝血四项:PT17.9s,PTA56。 CA-125: 600,CA-199:54.13,AFP:98.73。 肝彩:1、肝硬化,肝左叶可见高回声团。 上腹部CT: 肝癌、肝硬化、脾大




诊断:1、原发性肝癌;2、乙肝肝硬化 1、常规护肝退黄降酶,输血浆,护胃制酸等对症支持治疗 2、转肝脏外科。
患者目前已转入肝脏外科,等待全院会诊,探讨治疗方案。对于有肝癌家族史,又是乙肝的患者,应该定期复查,尽早争取早期发现原发性肝癌。