下载或打开 医联APP 查看完整评论
立即下载
打开APP
患者,女,26岁,因体检发现右肝占位8天入院,超声提示血管瘤。无不适主诉,既往体健。
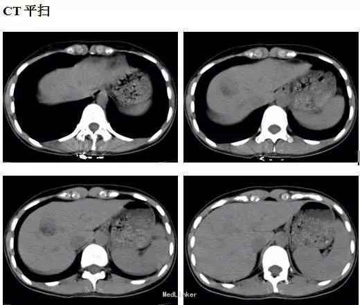
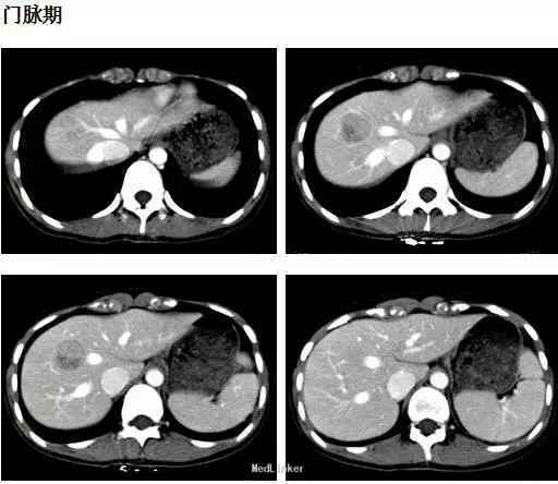
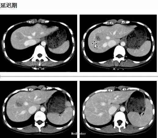
体检:腹平软,无肠型及蠕动波,未见腹壁静脉曲张,肝脾肋下未及,肝区无叩击痛,全腹无压痛、反跳痛、肌紧张。腹水征阴性。 CT表现:肝右前叶可见类圆形等低混杂密度影,边界尚清,直径约2.5cm,CT值-20~35HU,;增强后动脉期病灶呈结节样强化,门脉期病灶包膜强化更明显,有逐渐向中心填充趋势。




初步诊断:肝血管瘤。原拟定期复查,但患者强烈要求手术治疗,遂予肝部分切除术,术中所见也考虑血管瘤可能,术后恢复可。术后病理: 肝脏血管平滑肌脂肪瘤。免疫组化: melan-A(+)、HMB-45(+)、SMA灶性(+)、actin灶性(+)、S-100(-)、CK(-)、Desmin(-)、Ki-67阳性细胞约2%。
肝脏血管平滑肌脂肪瘤(HAML) 为一种罕见的肝脏间质性肿瘤, 由不同比例的血管、平滑肌和脂肪构成,1976 年Ishak首次报道本病。其发病机制尚不清楚,女性多见,以右叶居多。大多数患者无明显临床症状,多有体检发现。讨论:像本例患者有无必要手术,对于血管平滑肌脂肪瘤,手术指征如何?