打开应用

极易复发的膀胱癌

蒋医师   中国医学科学院阜外医院
膀胱恶性肿瘤 膀胱憩室 膀胱癌

主诉 病史

主诉:间歇行无痛性全程肉眼血尿1月 现病史:1月前无诱因出现间歇行无痛性全程肉眼血尿,在外院行泌尿系CT检查提示膀胱实性占位。余无异常。 既往史:8月前在我院行TURBt术,术后未行化疗,病理回报为浸润性尿路上皮癌。余无特殊。 个人史、家族史均无特殊。

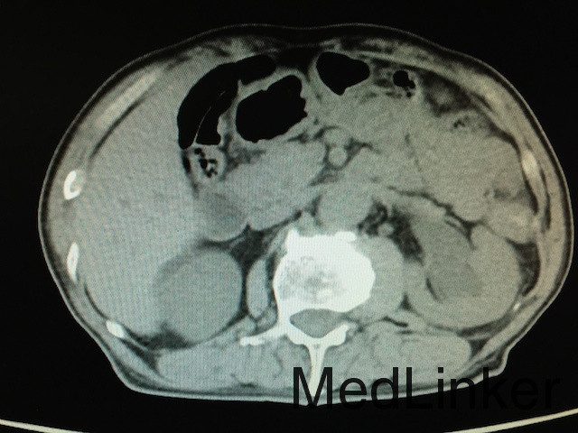
查体 辅查

查体:无明显异常。 辅助检查:泌尿系CT(如下图所示):膀胱实性占位,增强扫描肿物呈不均匀强化,双侧输尿管及肾盂积水,结合患者既往史,考虑膀胱恶性肿瘤复发;骨扫描未提示骨转移灶;胸片无明显异常。

诊断 处理

诊断:膀胱恶性肿瘤复发、双肾积水、膀胱憩室 治疗:建议行膀胱癌根治术+尿路转流术,患者家属拒绝,故行膀胱镜探查及双侧输尿管支架植入术改善双肾积水,改善肾功能。

随访 讨论

随访:患者性姑息性治疗后出院。 讨论:患者8个月前在我院行TURBt,后未化疗,8个月后,膀胱癌再次复发,已无法再次行TURBt;行根据泌尿系CT检查、胸片及骨扫描,临床分期为T3N0M0,具备行根治膀胱切除术+尿路转流指征。膀胱癌术后极易复发,且复发后肿瘤恶性程度会更高,故行TURBt术后均建议行规律膀胱灌洗治疗。

发布于 15-10-24 23:32

7 个评论

发送