打开应用

扭转牙要求美容修复

王医师   浙江大学医学院附属口腔医院

主诉 病史

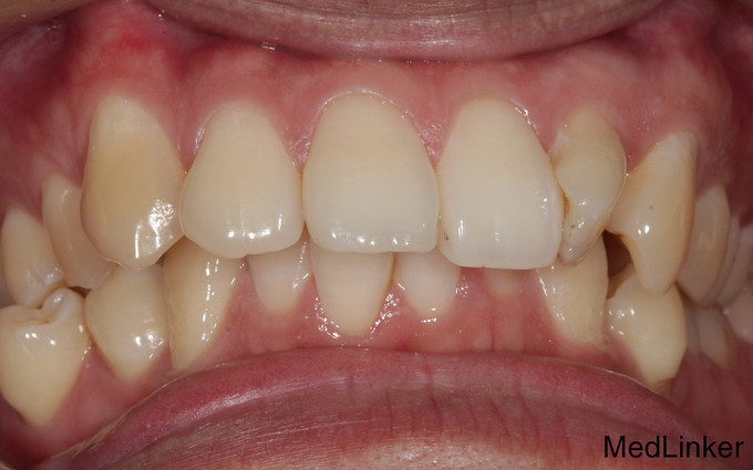
患者因左上前牙扭转,影响美观,要求改善。

查体 辅查

22近远中向扭转,近中缘突向唇侧明显。咬合可,口腔卫生可。

诊断 处理

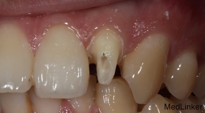
1.建议正畸治疗 2.建议22根管治疗后,单冠修复 患者选择方案2。 3.22予根管治疗后,纤维桩植入,光固化树脂堆核,氧化锆全瓷冠修复。

随访 讨论

修复1月后复诊无殊,牙龈未见明显红肿,咬合可。

发布于 15-10-24 17:05

6 个评论

发送