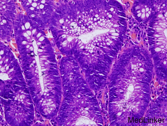
患者男,84岁,面背部黑褐色丘疹十余年,丘疹明显增多,伴显著瘙痒。既往史:1994年曾诊断“肺结核”,“高血压”病史10年,2000年诊断“乙状结肠癌”,行“乙状结肠癌根治术”,术后未行化疗。2004年复查肠镜发现“结肠息肉”,并行“结肠息肉切除术”,2007年肠镜再次发现升结肠小息肉,切除并行活检,病理示:(横结肠)管状腺瘤伴腺上皮轻——中度不典型增生。2009年、2011年复查肠镜再次出现小息肉,病理为:炎性息肉。
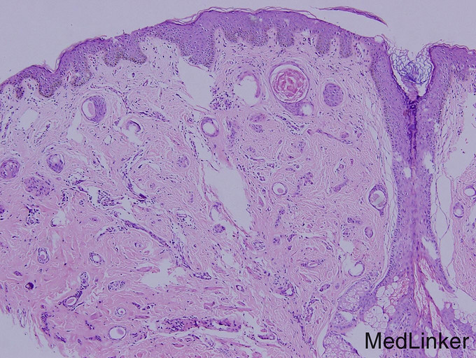
体检:体温36.5℃,脉搏72次/分,呼吸16次/分,血压124/60mmHg。发育正常,营养良好,面容正常,自主体位,步态蹒跚,神清,查体合作。实验室检查:左下腹可见一纵形陈旧性手术疤痕,腹柔软,无压痛反跳痛,未触及包块。心肺听诊无异常。专科体征:躯干以背部为主较多黑褐色丘疹,略粗糙,面部少许类似皮损。 辅助检查:血尿粪常规、肝肾功能均正常。2000年结肠增生物切除物病理学检查:腺样结构,腔侧细胞呈高柱状,胞浆淡染,周边细胞胞浆呈嗜碱性,其中可见核大浓染细胞和病理性核分裂。




诊断:Leser-Trelat征并复发性结肠息肉。 治疗:皮疹一般不需要治疗。如有瘙痒或发生炎症,或诊断有问题时,则可手术切除。此外,可用激光、冷冻治疗。结肠癌根据肿瘤科要求行根治术,并根据相应病情作出相应治疗。
Leser-Trelat症首先由Edmund Leser和Ulysse Lrelat描述,1900年Hollander首次强调Leser-Trelat症与内脏肿瘤的关系。本症可单独发生,亦可同时与肿瘤并存,故学者们将此种皮肤损害称为内脏肿瘤的标志,故长期以来,本病一直被认为是一种皮肤副肿瘤性综合征。临床上,Leser-Trelat症是指突然出现多发性脂溢性角化或原有的脂溢性角化损害突然增大、数目增多,就每个损害而言,Leser-Trelat症的脂溢性角化与一般的脂溢性角化相同,分布也相似,多数损害位于背部和胸部,其次为四肢、面、腹和腋部,但也可泛发,通常上肢多下肢,可伴有不同程度的瘙痒。 Leser-Trelat症多伴发腺癌,主要发生在食管和胃,也有合并白血症或蕈样肉芽肿的报道。本例患者依据典型的脂溢性角病皮损、结肠组织病理学变化可确诊。