患者男,60岁,因“腹泻10天,伴腹胀、双下肢水肿5天”收入院。5年前外院诊断为乙型肝炎,未正规治疗;肝硬化病史7年,目前服用阿德福韦酯片(贺维力)(合) 10mg/日,活络化纤丸3袋,3/日。
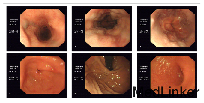
轻度贫血貌,无肝掌,胸前可见蜘蛛痣,双肺听诊呈清音。心率68次/分,心律齐,未闻及病理性杂音。腹平坦,无腹壁静脉曲张,移动性浊音阳性。双下肢轻度凹陷性水肿。 血常规正常; 电解质:镁 0.67mmol/L ↓;钾 3.44mmol/L ↓; 血脂分析:甘油三酯 0.44mmol/L ↓;总胆固醇 3.98mmol/L ;低密度脂蛋白 2.21mmol/L ↓;高密度脂蛋白 0.78mmol/L ↓; 肝功:丙氨酸氨基转移酶 34U/L ;碱性磷酸酯酶 86U/L ;胆碱酯酶 3882U/L ↓;门冬氨酸氨基转移酶 51U/L ↑;总胆红素 33.8umol/L ↑;白蛋白 32.7g/L ↓;结合胆红素 6.9umol/L ; 肾功:尿酸 376umol/L ;肌酐 81umol/L ; 肿瘤指标正常; 乙肝两对半定量:乙肝核心抗体定量 0.006COI ↑;乙肝e抗体定量 0.019COI ↑;乙肝e抗原定量 0.127COI ;乙肝表面抗体定量 2IU/L ;乙肝表面抗原定量 3912COI ↑; 乙型肝炎病毒核酸扩增荧光定量:HBV-DNA定量 <500IU/ml ; 凝血指标正常; 肝胆胰脾螺旋CT平扫+增强:肝硬化,门静脉高压侧支循环形成,脾大,腹水;拟胆囊炎;右肺中叶少许慢性感染灶;主动脉粥样硬化。 胃镜:1.食管静脉曲张(中-重度) 2.慢性浅表性胃炎伴糜烂 。 腹部B超:1、肝硬化、门脉高压(门静脉增宽并血流速度减低、脾静脉增宽、胆囊壁水肿、脾大、腹盆腔积液);2、胰腺未见明显异常。


1. 食管静脉曲张(中-重度) 2.慢性浅表性胃炎伴糜烂3、乙型肝炎后肝硬化失代偿期;4、慢性乙型病毒性肝炎。 考虑到患者既往无食管静脉曲张破裂出血史,目前近期消化道出血风险不大,向患者及家属充分告知食管静脉曲张套扎治疗的获益及风险,患者及家属表示暂不行内镜下食管静脉曲张套扎治疗。治疗上予阿德福韦酯抗病毒治疗,输人血白蛋白,并予速尿利尿、纠正电解质及酸碱平衡治疗。
定期复查血常规、肝肾功能及电解质、AFP,复查乙肝病毒定量,定期复查腹部B超或CT,定期复查胃镜,必要时行食管静脉曲张内镜下治疗,必要时行肠镜检查。