下载或打开 医联APP 查看完整评论
立即下载
打开APP
患者,女,80 岁,因发现右侧甲状腺结节 4 年收入院,伴声音嘶哑,颈部疼痛等症状。甲状腺功能正常。甲状腺超声示,右侧甲状腺叶出现 33×21 mm 的实性异质性结节,伴部分囊性成分。细针穿刺活检 (FNAB),结果不确定。 既往史,患者 9 年前因 RCC,行根治性右肾切除术。
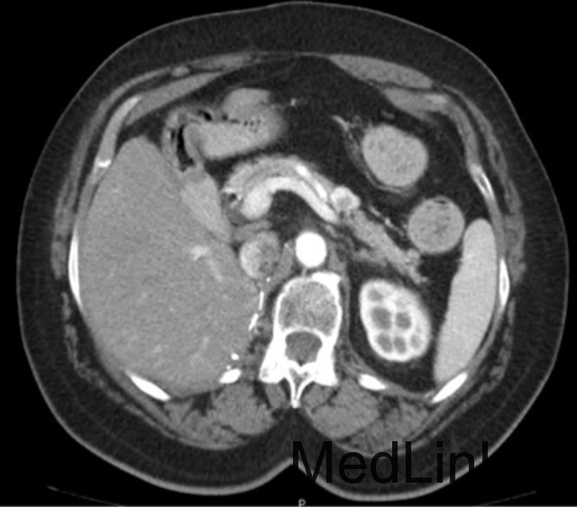
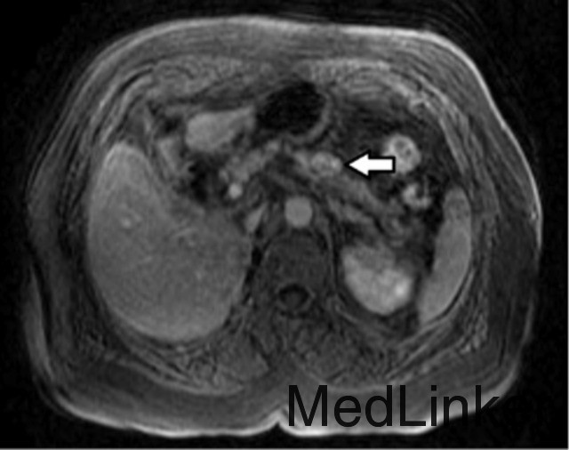
CT 显示在胰腺体上出现 20 mm 占位 (图 a)。MRI 显示在胰体胰尾之间出现 20×13 mm 实性结节,增强 MRI 提示神经内分泌源性 (图 b)。生长抑素闪烁照相显示在胰腺和右侧甲状腺生长抑素受体异常高表达。通过脑部 MRI 检查结果显示为正常,可排除 Von Hippel-Lindau 综合征 (VHLD)。


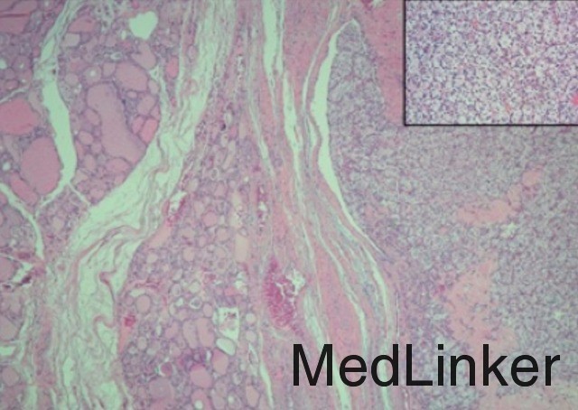
根据临床症状和相关检查,行右侧甲状腺切除术、喉返神经探查术 (图 c)。组织学检查结果为透明细胞癌 (图 d),根据免疫反应示波形蛋白和 CD10 为阳性,甲状腺球蛋白、甲状腺转录因子 -1(TTF-1) 及嗜铬粒蛋白为阴性,提示肾源性肿瘤。


术后病人恢复良好,未出现转移,11 月后复查 CT 发现之前确诊的胰腺体结节体积增大,而且在胰头部出现类似的结节。考虑到患者的年龄以及合并症,经小组讨论后并未给予进一步治疗。 讨论:RCC 远处转移具有不可预测性,且有晚期复发的倾向。尽管甲状腺血供丰富,但是临床上很难遇见肿瘤转移至甲状腺的病历,大约有 2% 转移性甲状腺癌,而且 RCC 转移至甲状腺更是罕见。doi:10.1016 j.ijscr2015.09.004 2210-2612