患者,余**,女性,67岁。2015年9月23日入住我科。主诉:纳差、乏力2天。患者近2天来受凉后出现纳差,表现为进食减少,伴恶心及呕吐,伴乏力,伴腹胀腹痛,起病以来至武汉市八医院住院诊治,自诉呕吐胃内容物少许及解大便排空后患者自觉症状较前减轻,今为进一步诊治来我院,门诊以“乏力、纳差查因”收入院。发病以来,患者神志清楚,神志清楚,饮食睡眠可,大便间断便秘,小便可,乏力、体重无明显下降。既往有间断发现高血压病病史,未予处理。间断发现血糖升高,未予处理。有便秘病史,具体原因不详。否认药物过敏史。入院后次日患者突发烦躁及呼吸困难,间断呻吟,沟通困难,拒绝回答问题。查体:BP 220/110mmHg,神志清楚,表情呆滞,面色潮红,呼吸急促,RR 28bpm,腹软,无压痛及反跳痛,四肢活动正常。查随机手指血糖23mmol/L,急请肾内科会诊协诊诊治,当时追问病史,患者既往20余年前有2型糖尿病病史,因患者沉溺信奉“法轮功”,一直拒绝就医拒绝口服一切药物。入院诊断:1.2型糖尿病 糖尿病酮症酸中毒;2.高血压病
入院后完善相关检查 血常规:白细胞计数 13.84 ↑ 4~10 10^9/L。尿液分析及尿沉渣:白细胞 +- 阴性隐血 +- 阴性蛋白质 1+ 阴性糖 4+ 阴性,酮体 2+ 阴性。 生化全套2:白蛋白 32.9 ↓ 35~55 g/L球蛋白 39.9 ↑ 20~35 g/L白球比值 0.82 ↓ 1~2.5葡萄糖 20.85 ↑ 3.82~6.1 mmol。血脂肪酶及淀粉酶正常。红细胞沉降率 53 0~20 mm/h。糖化血红蛋白 11.7 ↑ <6 % 肿瘤全套2:癌胚抗原 405.13 ↑ 0~5 ng/ml,糖类抗原19-9 >1200.00 ↑ 0~37 U/mL。 头颅CT平扫未见明显异常。 胸部+上腹部CT提示:1.胃积气扩张,余上腹部CT平扫未见明显异常。2.肺气肿,支气管炎肺部表现;3.双肺间质性肺炎;4.主动脉硬化;5.主动脉窦致密影,考虑瓣膜钙化。 胰腺增强:1 胰腺CT增强未见明显异常。2 右肾小囊肿。 肠镜检查:大肠黑变病。胃镜检查:浅表性胃炎(2级)。 复查癌胚抗原 383.42 ↑ 0~5 ng/ml糖类抗原19-9 >1200.00 ↑ 0~37 U/mL,仍旧显著升高,为进一步排除肿瘤行病变,遂行盆腔磁共振检查:1.盆腔右侧占位,肿瘤性病变不除外,建议增强扫描。2.右侧附件区结节影,建议增强扫描。3.子宫肌层信号欠均匀,不除外腺肌病可能。4.盆腔少许积液。






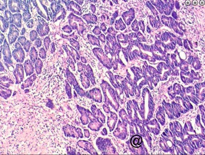
请妇科会诊,该科医师行妇检未见明显包块,且CA125正常,建议行小肠检查,同时行彩超探查了解包块来源,妇科彩超:子宫较小,宫体后壁肌壁间肌瘤(稍凸向宫腔),右侧附件区实质性包块,考虑为右侧卵巢肿瘤,左侧附件区未见明显异常显示,盆腔未见明显积液。 请妇科商议并于患者沟通后于2015.10.08转入妇科,转科行积极完善术前准备,于10.16行剖腹探查术。术中见:子宫稍大,质硬,后壁与直肠致密粘连,左侧卵巢大小正常,右侧卵巢增大直径约4cm,双侧附件与子宫后壁及盆壁致密粘连,分离盆腔粘连后可见巧克力样液体,阑尾可见约9*5*4cm肿瘤,包膜完整,与周围组织无粘连。请胃肠外科主任上台会诊,行阑尾切除术,术中快速病理切片检查示:(阑尾)腺上皮高级别上皮内瘤变(腺上皮中-重度异型增生),确诊待常规。再次向家属交代病情,将快切结果告知患者家属,患者家属了解病情,要求切除右半结肠,切除全子宫及双侧附件,最终行:全麻插管下行右半结肠根治性切除+肠粘连松解+腹式全子宫切除+双侧卵巢输卵管切除术。术后病检提示:(阑尾)中分化腺癌,癌浸润达肌层。阑尾手术切缘未见癌组织。免疫组化:CK19(+),Ki-67 LI约60%。子宫附件及右半结肠:1.送检肠管粘膜组织呈慢性炎,粘膜下水肿,纤维脂肪组织增生,血管扩张、充血。肠周触及淋巴结13枚呈反应性增生。 2.子宫腺肌症,囊性萎缩性子宫内膜组织,慢性子宫颈炎伴鳞状上皮化生。 3.(双侧)卵巢白体形成,(右侧)符合子宫内膜异位囊肿;(双侧)输卵管组织呈慢性炎,(右侧)伴系膜囊肿。






阑尾癌比较少见,以类癌多见,约占90%以上,腺癌罕见。类癌是胃肠道恶性肿瘤的一种,瘤体小,生长也慢,症状常不明显,亦可发生转移。类癌并不多见。如果类癌瘤体分泌释放肽胺类激素,患者就会出现腹痛、腹泻、哮喘、肝肿大等症状,医学上称为类癌综合征。阑尾炎很少发生此征。类癌各个年龄均可发病,平均发病年龄为40岁。阑尾类癌的恶性程度低,瘤体小,直径多在2厘米以下,且极少发生转移。阑尾类癌大多生长在距阑尾顶端1/3处,故不易堵塞阑尾管腔,很少引发阑尾炎。如果类癌生长在阑尾中1/3处,则多因堵塞管腔而发生阑尾炎。手术中,由于瘤体小,易不发现或误认为粪石,病理检查后方能得出正确诊断。阑尾类癌还可有阑尾穿孔表现,一般手术后才发现是阑尾类癌穿孔。本例发现腺癌,中分化程度,经切除后患者恢复良好,查国内文献偶尔有粘液性阑尾癌患者报道。本例手术前曾行肠镜检查观察阑尾内口无明显异常,分析考虑患者病变靠近阑尾顶端可能。所切除大体标本阑尾外膜尚完整光滑,咨询病例科医生诉患者阑尾肌肉组织层含有很多纤维增生成分。国外文献有报告甚少,多以类癌报道为主,近期看见一篇阑尾印戒细胞癌的case report!(Primary signet ring cell carcinoma of the appendix: A rare case report. World J Clin Cases 2015年 3卷 6期 538-41页 Primary adenocarcinoma of the appendix is a rare malignancythat constitutes < 0.5% of all gastrointestinalneoplasms. Moreover, primary signet ring cell carcinomaof the appendix is an exceedingly rare entity. In the present report, we describe a rare case of primary signet ring cell carcinoma of the appendix with ovarian metastasesand unresectable peritoneal dissemination occurring in a 45-year-old female patient. She was clinically misdiagnosed as torsion of ovarian cyst. She underwent appendicectomy and unilateral salpingo-oophorectomy.Histopathology revealed signet ring cell carcinoma and a right hemicolectomy was done. She then received palliative systemic chemotherapy with 12 cycles of oxaliplatin, 5-fluorouracil, and leucovorin (FOLFOX-4). The patient is doing well till today on follow up without progression of disease 10 mo after beginning chemotherapy. )