下载或打开 医联APP 查看完整评论
立即下载
打开APP
患者,女,6岁。近6个月出现缓慢进展的步态障碍。






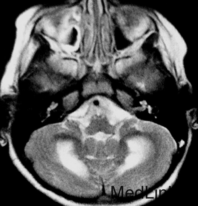
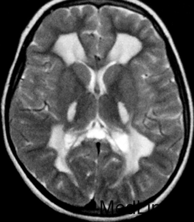
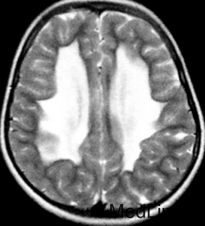
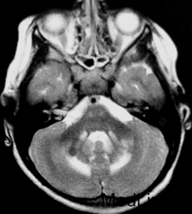
神经科查体显示肌僵直,腱反射亢进,双侧病理征阳性,轻度的小脑共济失调,振动觉及本体觉异常。CSF正常。 T2WI显示幕上及幕下白质T2高信号。内囊后肢、脑干皮质脊髓束、小脑中脚均受累。脊髓T2WI可见皮质脊髓侧束T2高信号。
脑白质病合并脑干及脊髓受累、乳酸增高。目前尚无特效治疗药物.
简称LBSL,是一种常染色体隐形遗传病,一般为DARS2基因突变引起。临床主要表现为儿童期及成年期缓慢进展的肌僵直、小脑性共济失调、振动觉及本体感觉异常。认知可轻度受累。意识、神经症状恶化可由轻度的头部损伤引起。诊断要点:特征性的临床症状及MRI异常。证实需做基因检测。MRS和CSF可见乳酸轻度增高,但没有特异性。MRI是诊断的很好标准。(AJNR-clinical correlation)