打开应用

可逆性后部脑病综合征1例

廖医师   南方医科大学南方医院
脑病 脱水

主诉 病史

患者为中年男性,主因头痛、视物不清、抽搐伴意识障碍1天入院。 患者1天前无明显诱因出现后枕部剧烈疼痛,伴视物不清,后突发意识丧失,伴双眼上视、口吐白沫、四肢抽搐,持续约2分钟,自行缓解。 患者3月前因考虑多发性血管炎行激素冲击治疗,后口服激素及环磷酰胺。

查体 辅查

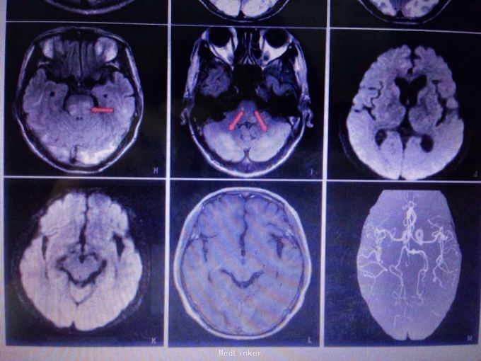
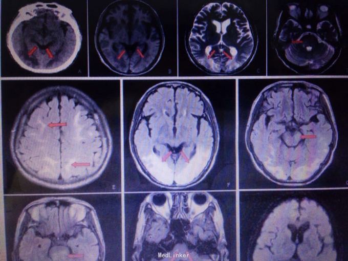
查体可见血压升高,昏睡,双眼视力眼前光感,眼球水平运动受限,视物重影,肌力约3-4级。 头颅CT见双侧枕叶皮层下对称低密度灶。 MR提示双侧枕叶下长T1对称病灶,flair相为高信号。腰穿脑脊液未见明显异常。

诊断 处理

诊断考虑可逆性后部脑病综合征。治疗上予控制血压,脱水,脑保护等治疗。

随访 讨论

患者经治疗意识状态逐渐恢复,复查颅脑MR提示原有病灶较前明显减少。考虑患者可逆性后部脑病综合征诊断较为明确。

发布于 15-10-22 22:57

1 个评论

发送