下载或打开 医联APP 查看完整评论
立即下载
打开APP
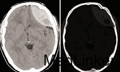
主诉:外伤致伤头部,昏迷、留血1小时。 病史:41岁男性患者,1小时前因打球不慎跌伤致伤头部,头面部多处血迹,当时出现昏迷不醒,无恶心、呕吐,无四肢抽搐,无大小便失禁,左侧瞳孔明显散大,直径约4mm。急诊行头颅CT检查示:左侧额部硬膜外出血合并头皮血肿,广泛颅骨骨折。住院观察病情,进一步治疗。
查体:T 36.5°C P:82次/分 R:20次/分 BP:142/80mmHg。发育正常,营养中等,被动体位,急性面容,表情痛苦,昏迷,查体不配合。左侧额部巨大肿块,左侧瞳孔散大,左侧对光反射迟钝,双肺呼吸音略粗,未闻及干湿性啰音。GCS8分,左顶部可触及一个手掌大小的头皮血肿,口鼻腔可见血性分泌物。 辅查:头颅CT:左额部硬膜外出血,广泛颅骨骨折。

诊断:1.左额部硬膜外血肿;2.左额部头皮血肿;3.左侧额部颅骨骨折 治疗:完善相关检查,积极做好术前准备,拟急诊行“去骨瓣减压术+硬膜外血肿清除术”。
急性颅脑损伤时为防止颅内压过高出现脑疝,多急诊考虑去骨瓣减压,待病情恢复后,再考虑植入人工钛网塑形。 硬膜外出血和硬膜下出血在临床上都很常见,如何鉴别?
