下载或打开 医联APP 查看完整评论
立即下载
打开APP
患者,男,因“头痛伴左眼外展不能5天”入院。5天前出现左侧顶部头痛,为胀痛,程度中等,随后出现左眼向鼻侧凝视,外展受限,无发热。今患者未进一步诊治。起病前患者自诉起病1周前曾有“右侧腮腺肿胀病史”。有高血压病史、2型糖尿病史、高脂血症、颅内动脉瘤病史。
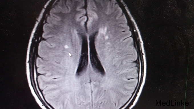
双侧向内侧凝视,左眼外展不能。辅查: 1. 血管炎指标五项、抗核抗体谱、抗心磷脂抗体未见明显异常,血沉27mm/h。 2. 头颅MRI:双侧放射冠区、左侧基底节区及右侧小脑半球多发梗塞灶(右侧小脑半球亚急性期脑梗塞)。


1.血管炎;2.多发性脑梗死。予甲强龙抗炎、营养神经、改善循环、降糖、降压等治疗。
头晕、头痛好转,左眼外展受限同前。讨论: 1.患者左侧外展 受限,定位于左侧脑干,MRI示右侧桥脑腔隙性梗死,非责任病灶; 2.一般梗塞不会引起头痛,住院前10天有腮腺炎病史,尽管血管炎指标阴性,仍考虑血管炎而非脑梗的可能性大。