下载或打开 医联APP 查看完整评论
立即下载
打开APP
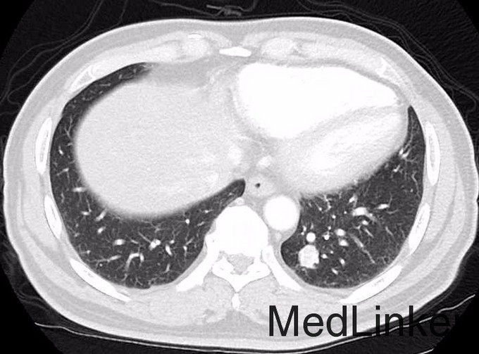
患者男,62岁,主因“右腰区疼痛半月余,入院检查发现双肺多发性占位性病变”收入院。 患者半月余前无明显诱因下出现右腰区疼痛,行腹部CT检查示:左侧肾上腺形态改变;左肾区条形软组织影,不除外萎缩或发育不良的左肾;于胸部CT结果示:左肺各叶、右肺上叶、中叶多发结节影
见病史

肺占位 穿刺活检
CT引导下穿刺活检,病理结果回报:穿刺肺组织可见癌浸润,结合形态学及免疫组化提示为透明细胞性肾细胞癌肺转移