下载或打开 医联APP 查看完整评论
立即下载
打开APP
患者为日本女性,68 岁,左前臂结节两年,渐增大。
体格检查:结节位于皮下,10 mm×10 mm 大小,界清,质硬,移动度差。
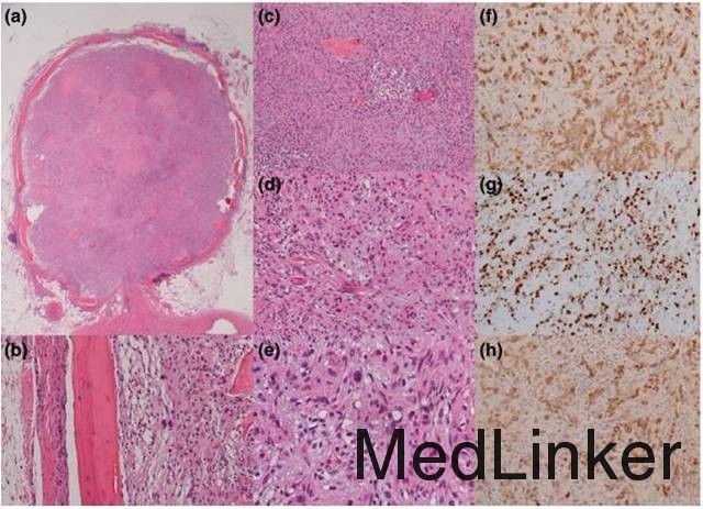
诊断:骨化的上皮样血管内皮瘤。 开始考虑血管平滑肌瘤和神经鞘瘤。在局部麻醉下,该肿物被完整切除。病理结果如下图示。

皮样血管内皮瘤是一种罕见的血管内皮细胞肿瘤,可发生在软组织、骨、皮肤以及其他实质性器官。该肿瘤位于前臂,肿瘤组织被最外部骨化的骨质蛋壳一样包绕着。作者认为该上皮样血管内皮瘤为良性肿瘤,因为最外层「蛋壳」样的骨质限制了其浸润性生长,但仍需密切随访。DOI: 0.1111/1346-8138.12915© 2015 Japanese Dermatological Association